Extração dos dentes do siso
Normalmente a extração dos dentes do siso é um procedimento simples, porém em alguns casos pode ser uma cirurgia um pouco mais complexa, dependendo da posição em que o dente se encontra.
A extração dos dentes do siso é a cirurgia para retirada dos terceiros molares
Muitas pessoas desejam retirar esses dentes por uma questão de higiene e conforto, já que quase sempre não há espaço suficiente para esses dentes nascerem. Além disso, a posição mais ao fundo dificulta a limpeza da região durante a escovação e também causa traumas, dores e sangramentos na gengiva e mucosa (pericoronarite).
A pericoronarite é uma inflamação do siso comum e pode ser necessário um atendimento emergencial para desinflamar antes de pensar na remoção do dente do siso.
Qual o remédio para dor no dente do siso?
Em geral o melhor remédio é ir ao dentista pois os medicamentos comuns como analgésicos e antiinflamatórios só vai resolver o problema por algumas horas.
Entretanto, ainda que esses dentes não estejam incomodando, pode haver indicação do dentista para retira-los se for constatado que o mal posicionamento destes dentes estão afetando a saúde e o alinhamento dos outros dentes, principalmente os dentes vizinhos.
A cirurgia de extração dos terceiros molares pode ser feita por um cirurgião dentista clínico geral ou em casos mais complicados entra em ação um especialista buco maxilo facial. Os casos mais complicados de extração dos sisos são:
- Quando os dentes nasceram completamente,
- Parcialmente (semi incluso)
- Quando não nasceram (incluso)
- Com raízes curvas ou tortas
- Com cáries (frágeis)
- Sisos muito profundos
- Associados a estruturas nobres como nervos ou vasos

A complexidade da cirurgia está diretamente relacionada com o posicionamento dos dentes do siso. A cirurgia é contraindicada nos casos em que o dente esteja muito próximo ao nervo e não esteja causando algum problema significativo, pois o risco de lesão do nervo durante a cirurgia não compensaria esse procedimento.
Como é a cirurgia de retirada dos sisos? Extração do siso doi?
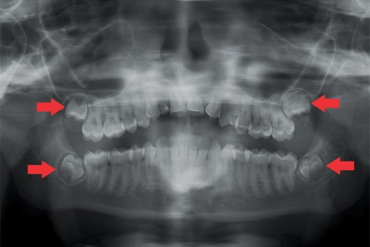
O primeiro passo do tratamento é a realização de exame radiográfico que mostre o exato posicionamento dos dentes. Em princípio, realiza-se uma radiografia panorâmica e eventualmente uma tomografia computadorizada.
Após o diagnóstico com exames digitais realizados diretamente em nossa clínica, o cirurgião dentista então verifica se a extração é a melhor conduta. Muitas pessoas sentem muito medo da cirurgia de extração dos sisos, mas podemos afirmar que com o correto planejamento, o procedimento tende a ser muito mais tranquilo do que se imagina, inclusive sendo finalizado em poucos minutos.
As cirurgias de extração também podem ser feitas sob sedação com o paciente dormindo. De forma geral, anestesia para extração dos sisos é local, e na ImplArt temos a anestesia eletrônica que é muito mais confortável, indolor e precisa.
Após a anestesia, é feita uma incisão na gengiva para expor o dente a ser retirado. Nos casos em que o dente que não irrompeu completamente, é feita a remoção cuidadosa do osso que o recobre, para posteriormente remover o dente.
Com o intuito de facilitar a extração, em alguns casos o dente precisa ser fracionado e retirado em partes, em outros será retirado inteiramente. Por fim é realizada uma sutura e o paciente recebe orientações com relação a medicação, alimentação e higienização nos primeiros dias.

É possível extrair os quatro sisos no mesmo dia?
Sim, desde que o paciente esteja em boas condições. Disso também depende o posicionamento dos dentes bem como a complexidade da cirurgia para retira-los. No entanto, sempre que possível é melhor fazer a extração de um lado de cada vez, para facilitar a mastigação. Há pacientes que tem pressa e nesses casos removemos o maior número de dentes do siso no mesmo dia.
Extração do siso recuperação: quanto tempo demora para cicatrizar extração de dente siso
O tempo de recuperação depende do grau de dificuldade da extração, bem como do número de dentes extraídos. Em geral, são comuns esses sintomas:
- O efeito anestésico dura em torno de duas a cinco horas. O paciente recebe prescrição de medicamento analgésico para usar se necessário.
- Poderá ocorrer sangramentos locais moderados nas primeiras 24 horas. É possível minimiza-los colocando uma gaze limpa sobre a área e a pessoa deve morde-la. Em caso de sangramento mais intenso, o dentista deve ser comunicado.
- Inchaço na face, que pode ser reduzido com uma compressa gelada na bochecha a cada 20 minutos, durante 10 minutos aproximadamente no primeiro dia. No segundo dia o inchaço deve ser conduzido com compressas quentes de 20 em 20 minutos, repetindo conforme necessário.
- Eventualmente pode haver uma dificuldade transitória para abrir ou fechar a boca. Essa situação vai retornando ao normal conforme ocorre a cicatrização dos tecidos.
Extração de siso quantos dias de atestado
Normalmente em um dia após a extração dos sisos a pessoa já está apta a retornar ao trabalho.
Pós operatório dente siso alimentação
Os cuidados com a alimentação dependem da extensão da cirurgia e cada pessoa sai com uma orientação do consultório. Em geral, deve-se adotar uma dieta líquida ou pastosa e fria até no máximo o terceiro dia pós-operatório. Deve-se evitar consumir alimentos duros e quentes para ajudar a reduzir o inchaço.
Também devem ser evitados alimentos com potencial irritativo (muito salgado, apimentado ou ácido) até a completa cicatrização dos tecidos. Não ingerir bebidas alcoólicas, pois elas interagem com as medicações prescritas, além de atrapalhar o processo cicatricial.
Como higienizar a boca após extração de dentes do siso
A escovação dos dentes deve ser feita de forma mais suave do que o habitual. Não usar enxaguantes bucais, a não ser que tenham sido prescritos pelo dentista. Muitos possuem álcool na composição e por consequência irritam a gengiva em recuperação.
Evitar fazer movimentos como bochechos e sucção, bem como cuspir nas primeiras 24 horas após a extração do siso.
Extração dos sisos pontos
O paciente deve retornar ao consultório para remoção dos pontos, normalmente 7 dias após a cirurgia ou a critério do dentista. Eventuais problemas com o os pontos, como por exemplo: pontos do siso romperam, pontos do siso machucando, como saber se o ponto do siso estourou, ponto siso soltou, o que fazer quando o ponto do dente do siso abre ou inflama, é normal os pontos do siso soltaram ou pontos siso abriram devem ser relatados ao dentista ou para nossa equipe.
Extração do siso complicações – extrair dente siso é perigoso?
A cirurgia de extração de dente do siso é feita com critério e planejamento para evitar ao máximo qualquer problema, no entanto existem alguns riscos. A boa notícia, é que eles são raros:
Parestesia
Sensação de dormência transitória ou permanente, ou devido a edema que pressiona o nervo nos primeiros dias, ou devido a lesão acidental do nervo próximo ao dente que foi extraído. Embora possível, a parestesia é rara. No geral dura alguns dias ou semanas, mas se o problema persistir, o dentista deve ser comunicado.
Alveolite
Quando o coágulo de sangue formado no processo de cicatrização se desfaz ou desloca cerca de três ou quatro dias após a extração, deixando dessa maneira a cavidade exposta. Isso pode causar dores, secreção e mal hálito. O dentista deve ser avisado com brevidade caso isso ocorra.
Dificuldade para abrir a boca (trismo)
É uma contratura dolorosa da musculatura da mandíbula que ocorre devido ao paciente ficar com o maxilar muito tenso durante a cirurgia, ou caso haja dificuldade e demora na extração do siso. Os sintomas podem ser evitados ou amenizados com medicação específica.
Infecção após extração dente siso
Infecções podem ocorrer após qualquer cirurgia. Para a cirurgia de extração dos dentes do siso, são tomadas medidas antes e após o procedimento para minimizar esse risco.
Extração do siso preço
O valor da cirurgia de extração de dentes do siso só pode ser passado em consulta presencial após uma avaliação detalhada da dificuldade do caso. Se você ficou com alguma dúvida, entre em contato conosco ou agende uma consulta.

Agende sua consulta agora por WhatsApp













































