
Lente de Contato preço
Lente de contato preço e duração ou lente de contato dental valor são dúvidas comuns em pessoas que gostariam de melhorar o sorriso. Saiba tudo sobre o tratamento estético capaz de transformar sorrisos:
As lentes de contato são realizadas na Clínica ImplArt com computação gráfica, onde conseguimos planejar digitalmente a estética ideal para cada paciente. Elas são puras em Porcelana e elaboradas com fresagem em equipamentos super modernos em nosso laboratório digital.
O preço e a duração das lentes de contato dental podem variar de acordo com a técnica e o material utilizado. É importante consultar nossos especialistas para obter informações precisas sobre o valor do tratamento. As lentes de contato são uma opção estética moderna para melhorar o sorriso, pois são feitas de porcelana de alta qualidade.

Conheça as diferenças entre Lente de Contato dental e Faceta em Resina: Diferenças entre lente de contato dental e faceta em resina
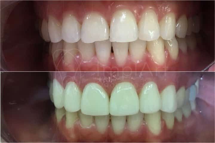
O processo de fabricação envolve o uso de tecnologia avançada, como fresagem em equipamentos modernos, garantindo um resultado estético ideal. O laboratório digital desempenha um papel importante na criação das lentes de contato, permitindo um planejamento detalhado e personalizado para cada paciente. Veja abaixo foto de um caso com ANTES e DEPOIS de LENTES DE CONTATO DE PORCELANA:

Tópicos deste Artigo sobre Lente de contato dental
O que são lentes de contato dental?
As lentes dentais são uma moderna técnica que certamente é capaz de transformar a estética do sorriso de forma rápida. Tratam-se de lâminas de porcelana ultrafinas (0,2 mm) para colagem na face externa dos dentes com o propósito de corrigir alguns defeitos nos dentes.
São os casos por exemplo de manchas, pequenas fraturas, assimetrias, diastemas (espaço exagerado entre dentes), dentes muito curtos, entre outros. O tratamento com lente de contato dental é com toda a certeza o segredo do sorriso dos famosos.
Qual é o melhor material utilizado nas lentes de contato dentais?
São fabricados em porcelana dental. Trata-se de um material vítreo cerâmico (dissilicato de lítio), bastante resistente e que imita a textura e tonalidades dos dentes naturais. É certamente um material seguro e totalmente biocompatível com o organismo humano.

Qual a diferença entre lentes de contato dental e faceta em resina?
As Lentes de Contato dentais são hoje associadas ao sorriso esteticamente natural e sua elaboração envolve modernas técnicas de computação gráfica e impressoras 3D.
Entretanto atualmente vemos que as antigas Facetas em Resina estão tornando-se populares. Certamente é importante salientar que a resina é um material bastante inferior à porcelana. Dessa maneira, é provável que a opção das facetas em resina tenha ganhado espaço principalmente pelo preço, baixo custo de tratamento. Embora as Facetas em Resina sejam uma opção mais econômica, elas tem a tendência a amarelarem com o tempo e além disso, promovem volume dental extra, na maioria dos casos. Portanto a Faceta em Resina não oferece nenhuma vantagem se comparado às Lentes de Contato Dentais.
Veja abaixo um vídeo que mostra as diferenças entre Lentes de Contato de Porcelana e Faceta em Resina:
Como são feitas as lentes de contato dental?
Em consulta, o paciente é primeiramente examinado e ouvido pelo dentista para que sejam entendidas todas as suas expectativas. Dessa forma, nossa equipe verificará se este tratamento é o mais adequado para solucionar seu caso.
Na Clínica ImplArt, não apenas o projeto, como também a execução das lentes de contato são feitos por meio de sistemas computadorizados. O projeto computadorizado é realizado com base em imagens obtidas por um scanner intraoral.
Trata-se de uma câmera de alta precisão com tecnologia dinamarquesa que é passada sobre os dentes e por consequência é criado um molde digital na tela do computador. A moldagem digital reproduz todos os detalhes, como formato, cores e textura. As imagens do molde digitalizado são utilizadas para planejar as lentes, da escolha da tonalidade e bem como do formato.

O projeto estético leva em conta que as lentes combinem com os dentes vizinhos, bem como com o rosto e a personalidade de cada pessoa. Uma das grandes vantagens do projeto computadorizado das lentes, é que o tratamento pode ser totalmente simulado e o paciente tem uma perspectiva de como ficarão seus dentes. Projeto aprovado, em seguida as lentes então são confeccionadas em impressoras 3D.
Preparação dos dentes para as lentes: há desgaste nos dentes?
Em virtude de as lentes de contato dental serem ultrafinas, existe uma grande vantagem que é de exigir pouco ou nenhum desgaste dos dentes para serem coladas. As lentes então são coladas sobre os dentes preparados com um tipo de adesivo odontológico.
Vale ressaltar que as lentes de contato dental ficam mais firmes quando coladas nos dentes da frente, quando comparado aos dentes do fundo da boca. Quase sempre o trabalho é feito sem anestesia a região para colocação das lentes de contato dental, porém quando o preparo exige algum desgaste que alcance a dentina, a anestesia então é aplicada para evitar desconfortos.
Veja no vídeo abaixo como é o preparo do dente para receber a Lente de Contato Dental:
Leia mais: clareamento dental
Conheça o antes e depois de lentes de contato dentais

As lentes de contato dentais precisam ser sempre muito brancas?
Muitos pacientes querem fazer Lentes de Contato e tem medo que o sorriso fique muito branco e artificial. Certamente a escolha da cor das próteses, entre elas as lentes, gera expectativa no paciente, pois afinal são parte fundamental do tratamento. As lentes de contato dentais podem ter resultados muito naturais e harmônicos. Primeiramente é importante destacar que há uma gama bastante grande de cores para execução das Lentes de Contato computadorizadas. Certamente aqui, na Clínica ImplArt você será orientado a escolher uma tonalidade que esteja em harmonia com você, através de técnicas de visagismo e com orientação profissional.

Cor das Lentes de Contato deve ser natural
O tratamento com Lentes de Contato pode ser combinado com coroas e implantes
Sim, certamente o tratamento com Lentes de Contato pode ser combinado com outras necessidades dos pacientes. Portanto, caso o paciente tenha necessidade de realizar implante dentário, coroa dentária, bem como lentes de contato em outros dentes, o tratamento é planejado em conjunto.
Segundo o Dr Markarian, nosso diretor Clínico, as Lentes de Contato são planejadas em computação gráfica juntamente com as Coroas Dentarias sobre implantes. Logo após, são impressas nas modernas fresadoras 3D de nosso laboratório digital.
Dessa maneira, o sorriso apresenta resultados finais naturais e duradouros. Tanto os dentes que receberam Lentes de Contato, quanto aqueles com coroa sobre implantes dentarios terão tonalidade e formatos em harmonia.
Algumas indicações das lentes de contato dentais
- Cobertura de manchas nos dentes (em caso de manchas muito escurecidas, pode ser indicado outro tratamento)
- Aumento dos dentes – indicado para pessoas com dentes muito curtos
- Mudança de formato dos dentes
- Nivelamento de volume entre dentes
- Fechamento de diastemas – fechamento de espaço entre os dentes
- Correção de assimetria dos dentes
- Correção de textura, como por exemplo nos dentes com esmalte desgastado
- Reparo de dentes quebrados ou lascados
Grandes problemas de assimetrias e dentes desalinhados, em princípio, não podem ser solucionados com lentes de contato dental, mas com tratamento ortodôntico ou alinhadores transparentes Invisalign.
Hoje em dia podemos melhorar ainda mais seu caso usando técnicas de Harmonização facial
Vantagens das lentes de contato dental
- Alta resistência e longa durabilidade da lente de contato dental
- Visual muito estético, comparável aos dentes naturais
- Restaurações minimamente invasivas
- Procedimento totalmente indolor
- Não necessitam de grandes desgastes dos dentes para serem instaladas
- Preservam a estrutura dos dentes
- Não causam incômodos na função mastigatória
- A porcelana não muda de cor no decorrer dos anos
- Resultado incrivelmente natural e harmonioso
- Pode ser projetada e executada em pouco tempo, em alguns casos até mesmo em Day Clinic.
Conheça a galeria de fotos da ImplArt
Lente de contato dental desvantagens e contraindicações
- Pessoas que possuem muitas restaurações
- Portadores de bruxismo sério
- Dentes fracos e com risco de queda ou fratura. Para dentes fracos pode ser melhor fazer uma coroa de porcelana dental.
- Má oclusão dentária e problemas ortodônticos.
- Ausência de dentes no fundo da boca e necessidade de implante dentário.
- Dente cariado, com doença periodontal e gengivite. Estes dentes devem ser tratados em primeiro lugar
- Como o tratamento é definitivo, não é possível remover a lente e deixa-lo sem substituição, pois o dente foi preparado para colocação da lente (desgaste do esmalte). Por isso o tratamento deve ser bem planejado entre dentista e paciente para evitar arrependimentos.

Quanto tempo dura a lente de contato dental?
A duração das lentes de contato dental depende de alguns cuidados, como por exemplo:
- Bom planejamento e execução do tratamento, importantes para promover a melhor adaptação das lentes em relação aos dentes e gengivas
- Boa qualidade dos materiais (porcelana e cimento odontológico)
- Higienização oral adequada
- Visitas regulares ao dentista
- Uso de escova com cerdas macias, bem como escovar com movimentos suaves para evitar retração gengival
- Alimentação (cautela com alimentos ácidos com potencial agressivo à porcelana)
- Evitar roer as unhas ou mastigar objetos duros
No entanto, as lentes de contato dental tem durabilidade limitada e pode ser necessário substitui-las com o passar de alguns anos (5 a 10 anos).
Imagens de tratamentos com Lentes de Contato Dentais e Implantes em conjunto.









Lente de contato preço
Preço e valores de tratamentos odontológicos e lente de contato dental valor só podem ser passados mediante consulta odontológica. Existem três principais razões para isso:
- O Código de Ética do Conselho Federal de Odontologia proíbe que dentistas realizem consultas de forma sem avaliaçao do paciente.
- Tratamentos odontológicos só podem ser indicados depois de uma avaliação criteriosa do paciente. Existem inúmeros fatores que influenciam no planejamento e no preço de um tratamento, como materiais, técnicas empregadas, extensão do problema, etc.
- A terceira é a importância de ser avaliado por um profissional dentista que faça lentes dentais, que está atento a todos os detalhes da saúde bucal, não apenas na estética.
Certamente é importante destacar que um tratamento odontológico não pode ser comparado pelo seu preço. O valor de um tratamento envolve diversos fatores e escolher apenas pelo preço não pode ser um quesito determinante. Escolha pela qualidade e seriedade do profissional, e não apenas pelo preço!
Nós, da Clinica Dentaria ImplArt estamos à disposição para esclarecer suas dúvidas neste tratamento tão importante e renovador! Entre em contato conosco para agendar sua consulta de avaliação com Dr. Roberto Markarian, nosso diretor clinico. Caso esteja distante, no exterior ou outro estado, há sempre a possibilidade de agendar sua consulta online.
Dr. Roberto Markarian, especialista em prótese dentaria.
Texto escrito por DR. ROBERTO MARKARIAN – CRO-SP 73.583
Idealizador e Diretor da Clínica Odontológica ImplArt. – Perfil do Linkedin do Dr. Roberto

Dr. Roberto Markarian é referência em implante dentario e próteses dentárias computadorizadas no Brasil. Além de ter experiencia de mais de 10.000 implantes instalados, é pesquisador, e produz conhecimento que vai para o mundo todo publicado em renomadas revistas científicas na área da Odontologia. Responsável por fomentar conhecimento e alta tecnologia aplicado em todos os tratamentos oferecidos pela Clínica ImplArt.
- Pós-Doutor em Implantodontia – Univ SL Mandic (Campinas-SP) – 2020
- PhD em Implantodontia – Doutor em Implantodontia pela Univ SL Mandic – 2017
- Dr Roberto Markarian Especialista em Implantes Dentários pela USP (Implantodontista) – 2008
- Especialista em Prótese Dentária (Protesista) pelo CFO – 2006
- Mestre em Prótese Dentária pela USP – 2005
- Graduado Cirurgião-Dentista pela USP (São Paulo) – 2001
- Membro do Corpo Clínico do Hospital Alemão Oswaldo Cruz
AGENDE PELO TELEFONE ou WHATSAPP SUA CONSULTA NA CLINICA IMPLART

📲(11) 3262-4750
Agende sua consulta agora por WhatsApp
Olá Boa tarde,
Quero colocar lentes de contato dental, em 10 dentes na parte superior, para correção dos dentes.
Em 10 dentes na parte inferior, porque tenho os dentes pequeninos, meus, porém pareço ser banguela, por serem tão pequenos, quero os maiores com uma estética invejável.(parte inferior)
Gostaria de saber quanto tempo é preciso estar no Brasil e quanto mais ou menos, numa media superior ao preço total, que será necessário levar?
Não quero correr o risco de chegar com X e faltar alguns bons reais.
Com os melhores Cumprimentos,
Fernanda Pires Lopes.
Com os melhores Cumprimentos,
Olá Fernanda,
Entraremos em contato com vc por email para esclarecer suas dúvidas sobre o tratamento com lentes dentais.
Oi tudo bem com vocês?
Os meus dentes são muito amarelos,
mas muito mesmo. Tenho dois dentes com uma ponta quebrada na frente devido canal. Conserto e quebra de novo. Eu acho que deve ser pelo o meu bruxismo, pois o meu é de apertar os dentes. Tenho quase todos os dentes feito restaurações, só as 4 presas que salvaram . Tenho isso, porque quando era criança, comia muito doce, ia dormir sem escovar. Outro fator, nem sempre agente tinha dinheiro para comprar escova e creme dental. Com 14 anos, já tinha todos os dentes com restauração, e perdir 2, que não teve como salvar. Depois fiz mais 5 canais, e já perdi mais 1 e estou com outros 3 para serem arrancados, porque foram quebrando. Todos meus dentes de canais quebraram. Muito triste isso, tenho que fazer no momento 5 implantes, isso se o dente da frente não acabar de quebrar né. Meu sonho era arrumar meus dentes e colocar lentes. Pelo que li no texto, no meu caso não posso. Morro de vergonha de rir, sei que as pessoas criticam minha dentição, que não é legal.
Olá Carla, tudo bem? Agradecemos seu contato! Agende uma consulta conosco para avaliarmos o seu caso e planejar um tratamento. É possível sim melhorar o seu sorriso. Whatsapp 11 3262-4750.
Boa tarde.As lentes de contato podem ser colocadas em implantes?
Em alguns tipos de próteses de porcelana sobre implante dentário podem ser aplicadas lentes de contato dentais para corrigir cor, formato e renovar a prótese dentária, sem por isso perder a prótese dental antiga
Gostaria de colocar 10 lentes na parte superior, para correção de proporção e cor.
Gostaria de saber o valor também
O tratamento com o número de dez lentes de contato dentais superiores é suficiente para em geral modificar o formato e proporção entre os dentes.
Porém não seria possível modificar muito a cor dos dentes com lente, para que não exista tanto contraste com os dentes inferiores.
Olá quantos custa colocar lentes de contatos em todos os dentes
Todos os tratamentos de lentes de contato dentais precisam ser avaliados clinicamente para verificar o preço de tratamento.
Venha realizar sua avaliação e planejaremos a melhor estratégia para suas novas lentes de contato dentais.
Boa noite gostaria de colocar 20 lentes de contato qual o valor mais ou menos meus dentes são certos porém amarelos
Realizando o número de vinte lentes dentais é possível mudar o formato e cor de seu sorriso.
Venha realizar uma consulta presencial e poderemos estimar o valor do tratamento, materiais e estratégias disponíveis para lentes de contato dentais.
Boa noite. Pode se colocar a lente em um dente só , o de cima por falta de revitalização e depois por aparelho por cima?
O aparelho fixo não terá uma boa adesão à lente de contato dental.
Isto ocorre porque a cola do bracket é de resina que não adere muito bem à porcelana da lente.
Em caráter provisório você poderia fazer uma lente de contato em resina e após tirar o aparelho finalizar o tratamento estético com as lentes dentais.
Tenho 57 anos mas passo por 47. Rs! Verdade! Resolvi usar de alguns artificios pra ficar mais bonitona ainda (se for possivel! ????). Meus dentes são curtos (perdi as “serrinhas”). Compromete demais a estética do sorriso: meu queijo se projeta pra frente e o nariz cai. Não imagino sujeitar-me ao desgaste dos dentes (!?), o mesmo não digo da gengiva.
No momento estou usando aparelho pra corrigir espaços….
Gostaria de colocar apenas dez lentes na parte superior.
Minha pergunta é; pra evitar o desgaste dos dentes, para proporcionar espaços pra acomodar as lentes, seria possível afastar os dentes com o uso de aparelho ortodôntico?
O desgaste nos dentes para as lentes de contato dentais não pode ser evitado com o uso de aparelho ortodôntico .
Entre as funções do desgaste para lentes, precisamos deixar a superfície plana e retirar um pouco da anatomia.
De outra forma a lente não encaixa ou fica anti estética.
Olá gostaria de saber mais sobre as lentes de contato
Olá Leticia, as lentes de contato dentais são tratamentos eficientes para mudar a estética dos dentes
Quando eu do risada aparece a falta de alguns dentes de trás isso me encomoda
Na ausência de alguns dentes a melhor alternativa são próteses dentárias ou implantes dentários.
Uso prótese dentária removível, mas possuo os três dentes superiores (mas com restaurações) é possível colocar lentes nesses, e em média o valor pra tal procedimento?
Teoricamente você poderia utilizar lentes de contato dentais em seus dentes naturais mesmo usando próteses removíveis, entretanto em geral esse tipo de prótese faz muita força sobre os dentes remanescentes, sendo assim pode ser que o tratamento e não tem uma durabilidade muito longa. Se esse for o caso, seria melhor realizar coroas dentárias de porcelana. O valor do tratamento dependerá do procedimento selecionado e do planejamento, além do material utilizado.
Boa noite, da pra colocar lente de contato em próteses q são maiores q os outros dentes p ficarem iguais?
Teoricamente é possível colocar lentes de contato sobre alguns tipos de próteses dentárias de porcelana, porém a análise clínica seria necessária para dizer com certeza
Com as lentes seria possível ter uma estética legal tendo apenas um incisivo central na parte superior?
Essa possibilidade precisa ser avaliada pessoalmente em consulta. Agende por Whatsapp 11 3262-4750
Bom dia. Tudo bem? É possível colocar lentes em ponte dentária e em próteses? Tenho ambos os casos. E geralmente qual o preço de uma lente colocada? Mais dentes o preço é diferenciado? Obrigado.
Olá Ricardo, neste caso seria necessário avaliar em consulta se é possível colocar a lente sobre ponte e prótese, pois depende muito de cada caso. Na consulta você vai receber um plano de tratamento e o orçamento. Agende pelo WhatsApp 11 3262-4750.
Tenho ausência de um dente na parte inferior atrás, tenho os dentes SA frente com restauração e desgaste de alguns dentes de cima na parte de trás. É possível colocar a lente?
Olá Franklin, somente com essa descrição não é possível afirmar se a melhor indicação seria a lente. Neste caso, seria melhor agendar uma consulta para avaliar e indicar o procedimento mais adequado. Agende sua consulta pelo WhatsApp 11 3262-4750