
Estética nos dentes para mudar o sorriso antes/depois
Estética nos dentes é uma especialidade odontológica que realiza procedimentos para correção de problemas estéticos dos dentes e gengivas, melhorando a aparência dos dentes e proporcionando um sorriso mais bonito e harmônico. Com o passar dos anos os dentes podem sofrer com ação de pigmentos, mudando de tonalidade, seja pela alimentação ou pelo pigmento presente nas bebidas.
O que é estética dental? O que fazer para melhorar a estética dos dentes?
Atualmente a estética orofacial é pensada como um todo, e surgem novas especialidades integradas, como a Hamonização facial que visa pensar a estética facial como um complemento à estética dos dentes. O conceito de beleza é normalmente associado à proporção e simetria.
Dessa forma, a estética do sorriso deve ser proposta como um todo. Não apenas deve ser pensado o tamanho dos dentes, formato, tonalidade dos dentes, como também a questão da funcionalidade, a função técnica da mastigação.
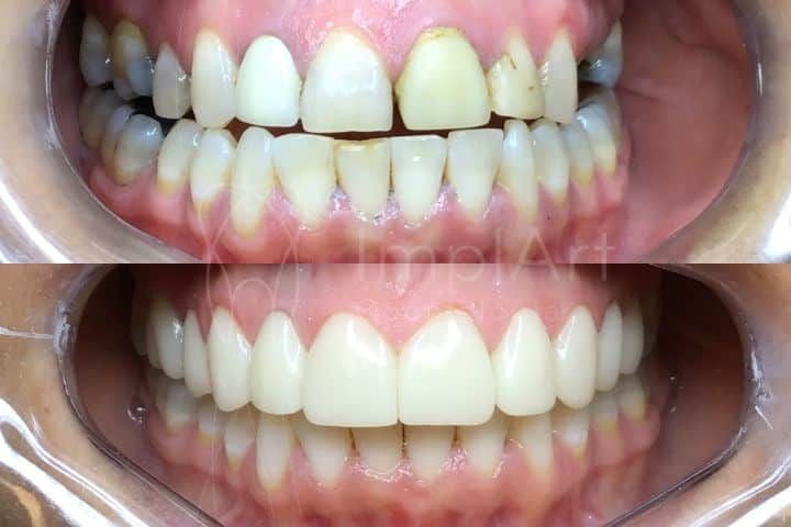
No caso apresentado, o sorriso apresentava leve diastema nos dentes incisivos centrais superiores, restaurações de resina manchadas, arranhadas e com perda de brilho, excesso de gengiva em alguns dentes, falta de dentes por cárie avançada, assimetria de volume dos dentes, dentes curtos e dentes amarelados.
Foi proposta uma reabilitação estética completa com a instalação de coroas de cerâmica e.max com núcleo estético de zircônia, lentes de contato dental de porcelana para fechar espaço, aumentar o tamanho e igualar o volume dos dentes incisivos, plástica gengival para retirar excesso de gengiva e a troca de restaurações antigas.
Você duvida que as lentes de contato dental são capazes de transformar o sorriso?
Tipos de tratamento dentário estético e procedimentos que melhoram a estética do sorriso:
Coroas estéticas livre de metais:
As coroas realizadas em cerâmica e.max com núcleo estético, isentas de metal. A produção de coroas em e.max é feita por métodos computadorizados, começando com uma moldagem digital por meio de scanner intraoral, projeto computadorizado e execução em impressora 3D Cerec.
Saiba mais:
- Coroa de porcelana metal free computadorizada
- Coroas de zircônia cúbica mais translúcida e resistente
- Coroa de porcelana pura para implantes com alta estética

Lentes de contato dental
É um moderno recurso para estética nos dentes. Facetas de porcelana ultrafinas para aplicação sobre os dentes. Funciona como uma capa para os dentes que cobre imperfeições como por exemplo manchas, lascas, assimetria de volume. Também fecha espaços entre dentes, aumenta dentes curtos, e em alguns casos alinha os dentes.
Muitas pessoas se preocupam se precisar desgastar os dentes para colocar lentes dentais. Isso vai depender de cada caso que precisa ser avaliado individualmente. Em geral, as lentes precisam de pouco ou nenhum desgaste considerável. As facetas de porcelana são mais espessas do que as lentes, e portanto exigem desgaste maior dos dentes.
Saiba mais:
- Lente de contato dental antes e depois
- Lente de contato dental valor e duração
- O que são lentes de contato dentais de porcelana?
- Lente de contato dental: passo a passo do tratamento
Gengivectomia ou plástica gengival
Procedimento indicado para remover excesso de tecido gengival sobre um ou mais dentes (que os deixam com aparência de dentes curtos e aspecto de sorriso gengival). Também corrige problemas de anatomia gengival, como por exemplo defeito gengival e a perda de formato natural de arcos.
Saiba mais:
Restaurações: estética dental com resina
Com o passar do tempo, as restaurações em resina podem arranhar e perder o polimento, fraturar, desajustar ou manchar (especialmente com o consumo de alimentos e bebidas pigmentadas, como por exemplo café e vinho).
Restaurações nessas condições destoam dos outros dentes e prejudica a harmonia do sorriso. Por isso precisam ser trocadas. As resinas compostas mais modernas possuem tecnologia nano que aumentam a resistência e a duração.
Saiba mais:
- Restaurações de resina e amálgama
- Quando é preciso trocar as restaurações?
- Faceta de resina composta direta
- Dente quebrado: o que fazer?
Clareamento dental a laser
Procedimento que retira pigmentos e manchas dos dentes por ação de um gel clareador, geralmente a base de peróxido de hidrogênio, que é aplicado sobre os dentes e ativado pela luz do laser. É sem dúvida o melhor procedimento para clarear e uniformizar a tonalidade dos dentes. Dessa forma, é possível obter um sorriso mais branquinho e bonito.
O clareamento dental a laser precisa de 2 a 3 sessões em consultório. O paciente pode sentir os dentes sensíveis logo após o procedimento, mas essa sensação diminui e desaparece em algumas horas.
Saiba mais:
- Clareamento dentário sem sensibilidade
- Clareamento dental com técnicas combinadas: laser + caseira
- Day Clinic – Clareamento dental a laser
- Clareamento dental enfraquece o dente?

Quanto custa um tratamento de estética dentária? Estética dental preço e estética dental valor.
Essas questões somente podem ser respondidas mediante consulta odontológica, que pode ser presencial ou então por TeleOdontologia. Isso porque tratamentos odontológicos só podem ser indicados depois de uma avaliação criteriosa do paciente. Existem inúmeros fatores que influenciam no planejamento de um tratamento, materiais e técnicas, profissionais envolvidos, que influenciam no valor do orçamento.
Nós da ImplArt acreditamos que um tratamento de estética nos dentes vai muito além de um simples valor monetário. Existem fatores importantes que influenciam em um custo benefício, como a saúde e bem estar que uma dentição saudável proporciona, a melhora da autoestima, e sobretudo o conforto do paciente durante os procedimentos.
Acima de tudo, a relação de confiança entre paciente e dentista, a nossa empatia pelo paciente, que muitas vezes trazem consigo ansiedades, expectativas, medos e até mesmo traumas por experiências anteriores. E para você, quanto vale seu sorriso?
Em casos de dúvida sobre procedimentos para estética nos dentes, entre em contato conosco ou então agende sua consulta de avaliação. Ficaremos felizes em recebê-lo!
Agende sua consulta agora por WhatsApp
Deixe um comentário