
Prótese fixa de porcelana sobre dentes com ou sem gengiva
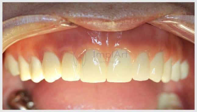
A prótese fixa de porcelana é indicada para suprir a ausência de um ou mais dentes. Atualmente, contamos também com a prótese em zirconia pura, como opção mais moderna para a confecção de próteses computadorizadas. Estes tipos de prótese fixa podem ser realizadas sobre dentes, ou também sobre implantes dentários.
Nesse sentido, é realizada a cirurgia de implante dentario, e após o tempo de recuperação do implante dentário, é feita a reabertura de implante, e a prótese pode ser confeccionada. A prótese em porcelana bem como a Zircônia Pura, são superiores em estética, pois são confeccionadas com material comparável aos dentes naturais, em aparência e resistência. A clinica dentaria ImplArt Odontologia realiza a confecção de prótese fixa em porcelana ou em zircônia (mais estético).
Tópicos deste artigo sobre prótese fixa com ou sem gengiva

Conheça as novas próteses protocolo sem gengiva de zircônia pura. A estética é imbatível!
Situações em que uma prótese fixa sobre dentes pode ser indicada:
- Restauração de uma coroa deteriorada, porém com raiz preservada;
- Restauração de dente com tratamento de canal;
- Substituição de restaurações antigas e inestéticas;
- Proteção/restauração de dentes fraturados;
- Cobertura de dentes manchados ou então despigmentados;
- Necessidade de melhoria da oclusão, mastigação, estética e/ou fala.
Quando uma prótese fixa sobre implantes pode ser indicada:
- Casos de implante da boca toda – prótese protocolo
- Implantes intercalados com pônticos para vários dentes
- uma região parcialmente sem dentes
Importante ter em mente que caso precise fazer uma cirurgia de implantes, na maioria dos casos é possível extrair um dente e colocar implante dentario no mesmo dia.
Quero minha prótese sem a gengiva artificial
Dentre essas situações, ainda pode haver a necessidade de confeccionar a prótese com ou sem camada de gengiva artificial (prótese caracterizada). A camada de gengiva artificial tem a função de repor funcionalmente e esteticamente o tecido gengival que pode ter sido perdido ou deformado por algum motivo. Assim sendo, a prótese com camada de gengiva na prótese dentária é indicada para repor o volume perdido e a deixar a prótese com características naturais, imitando o visual dos dentes vizinhos.
Mesmo sendo útil há muitos pacientes que não serem ter essa camada rosada de gengiva. Infelizmente em alguns casos nos quais o paciente perdeu muito osso e gengiva, não temos como fazer próteses fixas sem a gengiva. Pois ao remover o tecido gengival os dentes ficariam muito compridos, haveria espaços entre os dentes ou o lábio pode ficar murcho e sem volume (boca murcha ou torta).
Portanto para saber exatamente se podemos remover a gengiva de sua prótese temos que fazer testes clínicos e verificar se é possível. Muitas vezes na fase de próteses provisórias poderemos ter a noção exata.


Como é feito o tratamento com prótese fixa de porcelana sobre dentes com ou sem gengiva
Preparação do dente – o dente é desgastado até que se chegue a um formato específico. Essa forma, chamada de pilar, tem função mecânica retenção da prótese.
Molde – é retirado um molde sobre o pilar. Na ImplArt Odontologia o molde é obtido digitalmente através de escâneres intraorais (Omnicam ou Scanner Trios 3Shape). O resultado é certamente uma peça protética personalizada para as necessidades de cada paciente.
Confecção da prótese – feita em porcelana, tem características muito próximas aos dos dentes e gengivas naturais humanas. Na clinica dentaria ImplArt, a confecção de prótese em porcelana pode ser feita com mais agilidade, até mesmo em atendimento Day Clinic, porque possuímos um laboratório de prótese dentária digital próprio.
Instalação da prótese – a peça protética, unitária ou então em ponte, sobre implantes ou dentes é fixada com cimento odontológico sobre o(s) pilar(es).
Em caso de dúvidas sobre prótese fixa de porcelana, agende uma consulta ou então entre em contato conosco. Nós da clínica odontológica ImplArt ficaremos felizes em atendê-lo.
Agende sua consulta agora por WhatsApp
Deixe um comentário