
Importância da boa oclusão e mordida dentária
Você já ouviu falar sobre oclusão dental? A oclusão nada mais é que a relação entre a arcada dentária superior e inferior e a forma como os os dentes se tocam (mordida).
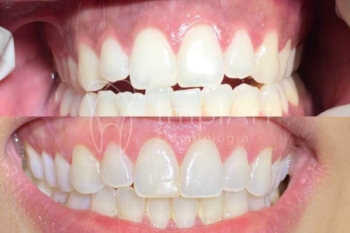
A boa oclusão dentária é importante para a saúde e a estética do sorriso
A boa oclusão dentária traz benefícios para a saúde, para as articulações têmporo mandibulares, para a harmonia facial e para todas as funções orais (mastigação, a fala e estética do sorriso).
Dessa forma, a definição do termo oclusão dentária abrange as relações dinâmica, funcional e morfológica entre os componentes da boca. São essas: articulações temporomandibulares, dentes, esqueleto craniofacial, estrutura de suporte dos dentes e sistema neuromuscular.
A boa oclusão beneficia toda a saúde bucal não só a mandíbula, mas também para tratamentos restauradores e reabilitadores como a colocação de próteses, aparelhos ortodônticos, implantes dentários e outros procedimentos.
Em contrapartida, a má oclusão dentária pode trazer comprometimento dessas funções, como a disfunção têmporomandibular (ATM), bruxismo (apartamento dentário, bruxismo de apertamento (briquismo), problema no funcionamento músculo facial, problemas na saúde bucal em geral e alterações estéticas faciais.
Uma mordida afetada pode causar dor e ruídos nas articulações, desgaste de um ou mais dentes, dor nos músculos durante a mastigação, dores de cabeça e no pescoço, tensão, fadiga e travamento ao abrir ou fechar a boca, sintomas que podem afetar até mesmo a qualidade de vida. A falta de dentes pode interferir negativamente na oclusão, principalmente quando faltam os dentes do fundo da boca.
Veja porque é tão importante pensar em uma boa oclusão?

Tipos de oclusão (mordidas)
Como os movimentos da mandíbula estão ligados ao sistema neurológico, podem ocorrer algumas situações. Ela se desloca para um dos lados ou há mudança do eixo do corpo devido a contatos prematuros e interferências oclusais. Características da oclusão dentária:
- 1 classe: oclusão normal, na qual o arco dentário superior (maxila) encaixa-se perfeitamente com o arco dentário inferior (mandíbula).
- 2 classe: a maxila está muito à frente da mandíbula (o queixo parece pequeno)
- 3 classe: a maxila está muito atrás da mandíbula (o queixo parece grande)
- Tipo de mordida cruzada: a mandíbula cobre a maxila em alguma parte
- Mordida aberta: os dentes de cima e de baixo não se tocam
- Mordida profunda: a maxila cobre a mandíbula em demasia
- Apinhamento: falta de espaço para os dentes
Tratamentos para a mordida ruim
O tratamento é indicado nos casos em que os dentes estão fora da posição adequada e o paciente apresenta sintomas como dores, acúmulo de placa, dores músculofaciais ou alterações estéticas. Também dificuldade para mastigar e falar, entre outros que afetam sua qualidade de vida e a autoestima do portador.
Cada caso é avaliado individualmente, mas para o tratamento da má oclusão dentária podem ser indicados um tratamento ortodôntico com aparelho ou cirurgia ortognática para correção dos ossos da face.
Veja porque a Clinica Dentaria ImplArt é a melhor opção para você
A Clínica Dentária Implart está comprometida em oferecer tratamentos odontológicos de ponta. Com uma equipe de especialistas dedicados e o uso de tecnologias avançadas, a ImplArt assegura soluções eficazes que atendem às necessidades individuais de cada paciente.
Se você sofre com problemas bucais e precisa realizar algum tratamento entre eles próteses sobre implantes, a Clínica ImplArt é sua parceira ideal na busca por uma solução eficaz. Entre em contato conosco para agendar uma consulta e descubra como podemos ajudá-lo a alcançar uma saúde bucal ótima e melhorar sua qualidade de vida. Nos siga no Instagram, Youtube ou Pinterest para ficar por dentro das novidades sobre nossos tratamentos.
Para realizar seu agendamento para reabilitação oral e implantes, entre em contato conosco através do telefone ou WhatsApp (11) 3262-4750, sua consulta será agendada com nosso diretor clinico, implantodontista, Dr. Roberto Markarian. Estamos à disposição para atender você
Agende sua consulta agora por WhatsApp
Deixe um comentário