
Lente de contato dental: conheça o passo a passo do tratamento
As lente de contato dental são laminados ultrafinos de porcelana (dissilicato de lítio) projetados com modernos sistemas computadorizados CADCAM e executadas por impressoras 3D, que permitem transformar o sorriso com naturalidade e rapidez. Neste guia passo a passo, você entenderá como funciona o tratamento na Clínica ImplArt, referência em odontologia estética em São Paulo. Descubra cada etapa, desde o planejamento digital até a colagem final, com alta precisão e tecnologia de ponta.

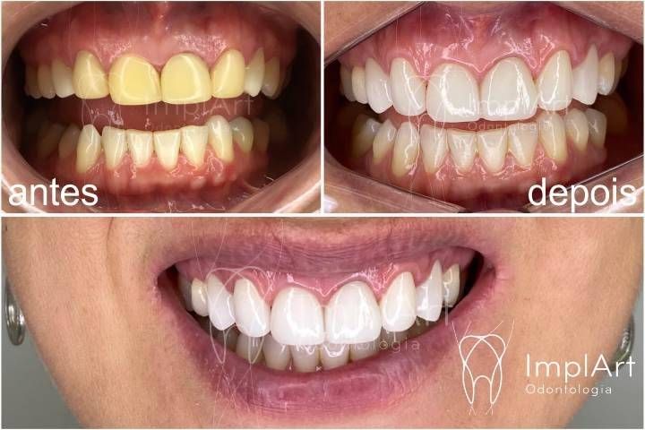
Lente de contato dental qual o passo a passo do tratamento ?
O que é lente de contato dental?
As lentes de contato são coladas na frente dos dentes, individualmente, e servem para corrigir alguns problemas estéticos, como nos casos de dentes desalinhados, dentes manchados, dentes pigmentados, dentes trincados, dente com formato inadequado, dor com indesejada, dente com tamanho irregular, correção da posição dos dentes.
São coladas na frente dos dentes, individualmente, com o intuito de corrigir alguns problemas estéticos. São os casos de dentes desalinhados, dentes manchados, pigmentados, dentes trincados, formato inadequado, cor indesejada, dente com tamanho irregular, correção da posição dos dentes.
As lentes não são recomendadas para dentes não saudáveis, como dentes cariados ou com doença periodontal. As lentes de contato para os dentes são capazes de revolucionar a estética do sorriso. Atualmente vemos muitos famosos do mundo das celebridades que passaram pelo tratamento e sem dúvida tiveram seus sorrisos transformados.

Eu preciso da lente de contato dental?
O tratamento com lentes de contato envolve o uso de tecnologia odontológica avançada. Inicia com a retirada de um molde dos dentes. A moldagem digital é realizada através de um scanner intraoral que capta imagens dos dentes e gengivas e cria um modelo tridimensional na tela do computador.
De acordo com essas imagens, o dentista utiliza um software que projeta as lentes de contato dentais com formatos e tonalidades personalizados para cada paciente. Acompanhe abaixo o video com todas as etapas para o tratamento com Lentes de Contato Dentais na Clínica ImplArt:
Planejamento para lentes
O projeto pode ser para um único dente ou mais. O projeto computadorizado aprovado então é enviado para o laboratório de prótese digital para confecção das lentes dentais. Um bloco de porcelana é colocado na impressora 3D e inicia-se o processo de fresagem até que o bloco adquira o formato das lentes dentais projetadas.
As lentes de contato dental possuem espessura de aproximadamente 0,2mm. Essa espessura ultrafina não exige o desgaste da superfície dental para que as lentes sejam aplicadas, ou então o desgaste é pouco. Portanto elas se diferenciam das facetas de porcelana.
Índice: Lente de contato Dental

Colagem de lentes de contato dentais
A colagem é feita depois da preparação do dente, o que envolve uma limpeza profissional para remoção de possíveis focos com acúmulo de placa e tártaro. Logo depois a colagem das lentes é feita com cimento especifico para uso odontológico, sem dor e necessidade de aplicar anestésico.
É um tratamento rápido, inclusive pode ser realizado em Day Clinic. A durabilidade das lentes de contato dentais é indeterminada. A porcelana é um material bastante resistente e possui características muito parecidas com as dos dentes naturais.
Sua superfície é resistente às manchas e não exige que o paciente seja cauteloso com alimentos e bebidas muito pigmentadas, como beterraba, cenoura, vinho, café, chás, etc.

Essa espessura ultrafina não exige o desgaste da superfície dental para que as lentes sejam aplicadas, portanto elas se diferenciam das facetas de porcelana. A aplicação é feita depois da preparação do dente, o que envolve uma limpeza profissional para remoção de possíveis focos com acúmulo de placa e tártaro.
A colagem das lentes é feita com cimento especifico para uso odontológico, sem dor e necessidade de aplicar anestésico. É um tratamento rápido que, inclusive em alguns casos, pode ser realizado em Day Clinic. A durabilidade das lentes de contato dentais é indeterminada.
A porcelana é um material bastante resistente e sobretudo possui características muito parecidas com as dos dentes naturais. Sua superfície é resistente às manchas e não exige que o paciente seja cauteloso com alimentos e bebidas muito pigmentadas, como beterraba, cenoura, vinho, café, chás, por exemplo.
Lente dental veja como funciona: Veja fotos de Lentes de Contato Dentais









Lente de contato dental preço │ Lente de contato valores
O preço médio das lentes de contato dentais só pode ser fornecido em consulta odontológica, pois depende de um exame clínico presencial, além do que o Conselho Federal de Odontologia proíbe consultas não presenciais. Se você ficou com alguma dúvida, então entre em contato conosco através de um dos canais de atendimento.
Agende sua Consulta na ImplArt
Dr. Roberto Markarian, implantodontista
Texto escrito por DR. ROBERTO MARKARIAN – CRO-SP 73.583
Idealizador e Diretor da Clínica Odontológica ImplArt. – Perfil do Linkedin do Dr. Roberto

Dr. Roberto Markarian é referência em implante dentario e próteses dentárias computadorizadas no Brasil. Além de ter experiencia de mais de 10.000 implantes instalados, é pesquisador, e produz conhecimento que vai para o mundo todo publicado em renomadas revistas científicas na área da Odontologia. Responsável por fomentar conhecimento e alta tecnologia aplicado em todos os tratamentos oferecidos pela Clínica ImplArt.
- Pós-Doutor em Implantodontia – Univ SL Mandic (Campinas-SP) – 2020
- PhD em Implantodontia – Doutor em Implantodontia pela Univ SL Mandic – 2017
- Dr Roberto Markarian Especialista em Implantes Dentários pela USP (Implantodontista) – 2008
- Especialista em Prótese Dentária (Protesista) pelo CFO – 2006
- Mestre em Prótese Dentária pela USP – 2005
- Graduado Cirurgião-Dentista pela USP (São Paulo) – 2001
- Membro do Corpo Clínico do Hospital Alemão Oswaldo Cruz
AGENDE PELO TELEFONE ou WHATSAPP SUA CONSULTA NA CLINICA IMPLART

📲(11) 3262-4750
Agende sua consulta agora por WhatsApp
Boa noite, sou Gessioni, como vcs estão atendendo agora no pico da pandemia??
Olá Gessioni, mesmo na fase vermelha de Sâo Paulo estamos atendendo normalmente, veja nossas medidas na pandemia.