
Gengivite: o que é, como evitar e como tratar
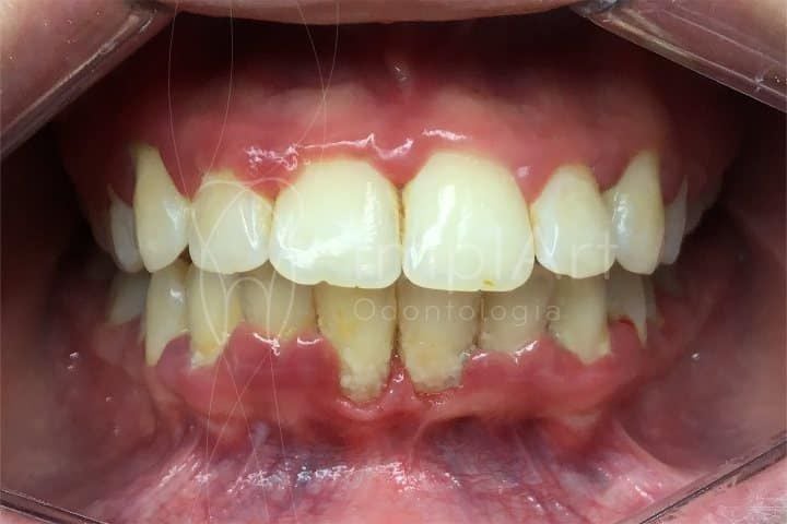
Se você está com a gengiva inchada e vermelha, sangrando com facilidade, está com dor na gengiva, ou com a gengiva coçando, é possível que esteja com sintomas de gengivite. Por isso, é importante que você procure ajuda especializada em uma clinica dentaria para ter o suporte necessário sobre qual tratamento ser adotado. Primeiramente é importante mencionar que o tratamento precoce é a melhor forma de evitar a perda dentária.
Em segundo lugar, devemos salientar que, atualmente em casos de doença periodontal onde ocorre a perda de diversos dentes, na grande maioria dos casos, a reabilitação pode ser feita dessa forma com implante dentario. Portanto, há tratamentos reabilitadores que irão permitir a reconquista do sorriso.
Estou com a gengiva inchada, vermelha e sangrando. Será que isso é gengivite?
Gengivite é uma inflamação na gengiva, que é um dos tecidos responsáveis pelo suporte dos dentes. Trata-se dessa forma de um dos problemas mais comuns da cavidade oral, e quase sempre é o primeiro sinal de que a sua higienização oral não está adequada.
Esta condição inflamatória da gengiva é causada por ação de bactérias presentes no biofilme, película incolor e viscosa que se forma ao redor dos dentes, ou na placa bacteriana, uma camada esbranquiçada ou amarelada formada na região entre dentes e gengivas.
A placa é formada pelo acúmulo de partículas alimentares que ficam aderidas na superfície em dentes que não são escovados corretamente.
Se não tratada, a gengivite pode afetar a estrutura dos dentes e fazer com que eles amoleçam, caiam ou que necessite de extração.

Conheça os três estágios da doença gengival
Gengivite
Gengivite: é o primeiro estágio da inflamação da gengiva causada pelo acumulo de placa bacteriana, que se forma a margem da gengiva por consequência de uma insuficiência na escovação dos dentes e a falta do uso do fio dental. As bactérias geram toxinas que irritam o tecido gengival.
O principal sintoma neste primeiro estágio da gengivite é o sangramento da gengiva durante a escovação ou do uso do fio dental. Esta fase da doença pode ser revertida com limpeza profissional para retirar a placa acumulada. Decerto, neste momento, a atenção redobrada com a atenção com a higiene bucal em casa e eventualmente o dentista pode receitar um antiinflamatório para gengivite.
Periodontite
Periodontite: no segundo estágio da gengivite, o osso e as fibras de sustentação dos dentes são irreversivelmente danificados. Ao redor da gengiva começam a formar bolsas que avançam para debaixo da gengiva, onde há acumulo de detritos alimentares e as placas bacterianas na raiz. Uma boa higiene bucal é o tratamento adequado para este estágio da gengivite, que é o alisamento das raízes, algumas vezes pode ser necessário uma cirurgia gengival, ajudam na prevenção de danos maiores neste caso.
Periodontite avançada
Periodontite avançada: neste estágio da gengivite, o osso e fibras de sustentação estão completamente destruídos. É nesta fase que há a mobilidade dos dentes, prejudicando a arcada dentária. Isso afeta a mordida e, se o não for feito um tratamento eficaz para gengivite, certamente haverá perda de dentes. Leia mais sobre periodontite tratamento.
Sintomas da gengivite
A gengivite é mais comum em adultos, porém também pode ocorrer em qualquer idade. Se for diagnosticada no primeiro estágio, pode ser revertida. Por isso que uma boa higiene bucal, escovação regular, uso frequente do fio dental e visitas regulares ao dentista são essenciais. Os principais sintomas da gengivite são:
- Gengiva inchada
- Gengiva vermelha e dente doendo
- Gengivas flácidas
- Gengiva machucada em volta do dente
- Gengiva vermelha ao redor do dente
- Sangramento da gengiva na hora da escovação ou do uso do fio dental
- Gengiva vermelha e doendo
- Dentes que parecem mais longos por causa da retração gengival
- Gengiva que se afasta ou separa do dente devido a formação de bolsas
- Mudança da mordida (oclusão)
- Secreção ou pus ao redor dos dentes
- Mau hálito constante ou gosto ruim na boca
Qual deve ser a cor da gengiva?
A cor da gengiva vai depender da etnia do indivíduo. A gengiva pode ser rosada ou pigmentada, mas sempre deve ser firme e manter a anatomia abaixo.

Você deve se preocupar se observar que a gengiva parece avermelhada ou inchada, se ela sangra durante a escovação dos dentes ou ao usar o fio dental, se perceber que a gengiva está se retraindo ou então se observar a gengiva frouxa.

Gengiva inflamada
Gengivite tratamento precoce é a melhor opção
Se não for tratada, a gengivite, gengiva inflamada, pode progredir e atingir o osso alveolar (osso que circunda e sustenta o dente), causar a doença periodontal, e resultar em alteração óssea, fazendo com que os dentes se movam e até mesmo caiam, prejudicando a arcada dentária. Este processo pode, dessa forma, ocasionar a perda total dos dentes e a necessidade de realização de tratamento de implante total, com tratamento chamado de prótese protocolo.
Para evitar que a formação da placa bacteriana que causa gengivite, é importante escovar os dentes após as refeições bem como usar fio dental regularmente. Dessa maneira, a rotina de limpeza diária dos dentes impede a formação da placa bacteriana, que irrita a gengiva e o osso ao redor dos dentes.
Mas não se preocupe, caso haja necessidade de recuperar a dentição através de implante dentario total, há modernos tratamentos que permitem, dessa maneira, reconstruir o sorriso. Entre elas podemos citar a prótese protocolo em Zirconia, material moderno, de estética muito natural, além de apresentar alta resistência.
Também devemos mencionar que atualmente há diversos tipos de implantes dentarios, entre eles os implantes Straumann, que são suíços, sendo implantes de rápida cicatrização.
Caso haja necessidade de enxerto ósseo, ele também pode ser realizado, e há diversas técnicas que irão permitir a inserção do implante dentário. Dessa forma, a mastigação e estética dental podem ser reconquistadas e o paciente ganha muito em qualidade de vida. O tratamento com implante total é um tratamento muito superior ao oferecido pelo uso de dentaduras, que são prótese removíveis e não proporcionam o mesmo conforto oferecido pelo tratamento com implante de arcada completa. Dessa forma, sendo possível, opte pelo tratamento com implante dentario.
O que fazer quando a gengiva está vermelha?
Uma limpeza profissional do dentista é sobretudo a melhor forma de eliminar a placa bacteriana endurecida nos dentes e o tártaro. A limpeza dos dentes ou raspagem radicular remove placa e tártaro acima e abaixo da linha da gengiva. Em casos mais graves da gengivite, é preciso um procedimento para aplainar a raiz nas suas partes mais profundas (região subgengival).
O que é bom para desinflamar a gengiva?
Muitas pessoas tendem a procurar um remédio rápido para a gengivite, como por exemplo antiinflamatório para gengivite, ou até mesmo receitas caseiras, pesquisando se o bicarbonato é bom para gengivite. O bicarbonato tem realmente tem ação bactericida, porém seu uso incorreto ou exagerado pode irritar a gengiva.
O fato é que nada substitui a avaliação do cirurgião dentista, em primeiro lugar para identificar os pontos de acumulo de placa escondidos da visão do paciente, especialmente na região subgengival. Somente o dentista consegue realizar uma limpeza para gengivite profissional e isso ajuda muito no restabelecimento dos tecidos, chamado de tratamento periodontal.
Além disso o olhar do dentista identifica as deficiências na higienização bucal diária e estabelecer dicas para melhorar essa prática, evitando o surgimento de problemas com os dentes e gengivas, alguns deles irreversíveis.
Conclusão
Em se tratando de gengivite e periodontite, a prevenção é a melhor conduta para manter a gengiva e o sorriso saudável, completo e bonito. Portanto, agende uma consulta com a nossa equipe para realizar seu check up dental.
Nós, da Clinica Dentaria ImplArt estamos à disposição para atender você, seja em tratamentos de implante dentario, prótese protocolo, ou mesmo para tratar doença periodontal. Nossa equipe, liderada por nosso diretor clínico, implantodontista, Dr. Roberto Markarian, está pronta para realizar seu tratamento com conhecimento e alta tecnologia. Entre em contato para agendar sua consulta📲WhatsApp (11) 3262-4750. Nós da clínica odontológica ImplArt, ficaremos felizes em recebe-lo!
Agende sua consulta agora por WhatsApp
Deixe um comentário