
Prótese em metal e porcelana: prótese de cerâmica
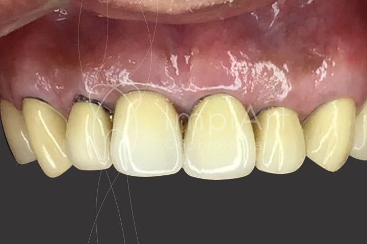
Prótese em metal, ou seja, com reforço metálico (coping) e revestida por resina ou porcelana pode apresentar problemas estéticos depois de algum tempo, por exemplo: retração gengival e exposição da terminação em metal, fratura de revestimento estético e manchas.
Porque uma prótese dentária em metal pode apresentar defeitos ?
A exposição da linha escura perto da gengiva ocorre de forma mais freqüente em pessoas com problemas gengivais ou periodontais, ou pessoas com gengivas delicadas e transparentes. Os novos materiais utilizados nas estruturas das próteses são livres de metal (metal free), como a zircônia. Porém como estas porcelanas são muito brancas e opacas, sobre elas é aplicada uma porcelana estética. Veja um exemplo:
Exemplo de Prótese em metal com problemas – tratamento com insucesso




Próteses e coroas metal free são caracterizadas pela ausência de metais em sua estrutura interna, que é fabricada em zircônia. Trata-se de um material cerâmico branco e resistente, portanto oferece um resultado muito mais estético e parecido com dentes naturais. Outros pontos positivos desta tecnologia são: melhora estética, alta durabilidade, translucidez e nenhuma possibilidade do surgimento de manchas cinzas na área da gengiva, como na prótese em metal.
Tipos e materiais de coroa de porcelana
Existem diferentes tipos de materiais utilizados para a elaboração de coroas de porcelana: os materiais mais antigos utilizam metal (prótese em metal / metalocerâmica) e os mais modernos não contém metal.
As coroas de porcelana com estruturas internas metálicas são chamadas de metalocerâmicas e as coroas com estrutura branca como no caso da zircônia são chamadas de metal-free, ou seja, livres de metais.
Existem ainda as coroas que não utilizam estruturas internas, e são elaboradas por métodos computadorizados. Além disso cobrir um dente natural destruído com a coroa de cerâmica é fundamental para a saúde bucal pois irá restabelecer a mastigação do paciente.
A vantagem da coroa de porcelana metal free é que ela é mais estética, já que a porcelana pura é um material branco. Dessa forma, a estrutura não é visível dentro da coroa mesmo em ambientes muito iluminados.
As novas gerações de coroas de porcelana são elaboradas por métodos cad/cam de acordo com projetos computadorizados. São realizados em um material único (monolítico). São as coroas de porcelanas digitais, metal free que como principais vantagens oferecem estética e rapidez na elaboração.
Uma Prótese em metal total ou parcialmente também podem apresentar os seguintes problemas :
1. Problemas Estéticos e Translucidez:
As próteses metalocerâmicas, devido à presença de metal subjacente, podem enfrentar desafios estéticos. O metal pode afetar a translucidez dos dentes artificiais, resultando em uma aparência menos natural. Em comparação, as próteses sem metal oferecem uma translucidez mais próxima à dos dentes naturais, garantindo uma estética superior e uma integração visual mais harmoniosa com os dentes circundantes.
2. Sensibilidade ao Calor e Frio:
Próteses em metal podem conduzir temperatura, causando desconforto ao paciente em ambientes quentes ou frios. Pacientes relatam sensibilidade ao calor e frio devido à condução térmica do metal. Em contraste, próteses sem metal eliminam essa sensação desagradável, proporcionando conforto adicional durante as variações de temperatura. Essa característica é especialmente relevante para garantir o bem-estar e a satisfação do paciente.
3. Problemas Periodontais e Reações Alérgicas:
Próteses em metal podem contribuir para problemas periodontais devido à acumulação de placa ao redor das áreas de contato. Além disso, algumas pessoas podem desenvolver reações alérgicas aos metais presentes nessas próteses. Próteses sem metal minimizam esses riscos, pois não apresentam bordas metálicas que possam reter placa bacteriana, reduzindo o potencial de irritação gengival e evitando reações alérgicas em pacientes sensíveis.
4. Peso e Condução Elétrica na prótese em metal:
Próteses em metal podem ser mais pesadas, causando desconforto para alguns pacientes devido à carga adicional. Além disso, o metal pode conduzir eletricidade, resultando em uma sensação peculiar ao consumir alimentos quentes ou frios. As próteses sem metal oferecem uma alternativa mais leve, confortável e sem a condução elétrica, proporcionando uma experiência mais natural e agradável para o paciente no uso diário.
Se você ficou com alguma dúvida, entre em contato ou então agende uma consulta conosco.
Agende sua consulta agora por WhatsApp
Deixe um comentário