
Dentes impactados: como tratar?
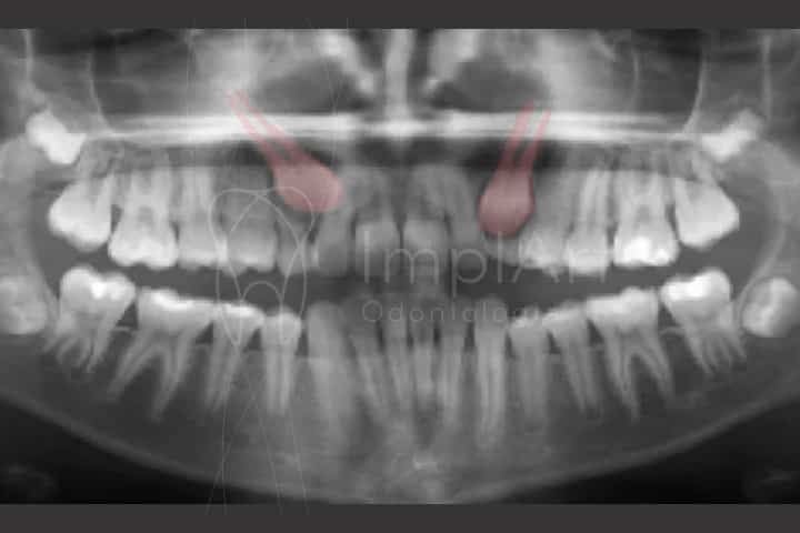
Os dentes impactados são aqueles que não conseguiram atingir a cavidade bucal por falta de força de irrupção ou por não romperem a camada fibrosa.
Porque alguns dentes permanentes não nascem?
Também conhecido como dente encravado ou incluso, eles também podem ter estágios intermediários como semi impactados ou semi inclusos, em que eles não estão parados no osso, mas também não tiveram forças para nascer.
Normalmente esse problema ocorre por causa da falta de espaço na arcada dentária, que pode acontecer devido à perda prematura dos dentes de leite ou por deficiência de crescimento ósseo. Os terceiros molares, inferiores e superiores, e os caninos superiores são os dentes que mais sofrem com essa situação.

E se eu simplesmente ficar sem o dente por causa de dentes impactados?
A imperfeição pode afetar a saúde bucal do paciente quando diagnosticada tardiamente. A mordida pode ficar desalinhada por causa do dente impactado e ele também pode empurrar os outros dentes. Outro possível problema é a reabsorção da raiz do dente que está mais próximo a ele.
Uma vez que o dentista identifica a condição do paciente, o início do tratamento deve ser rápido e eficaz para evitar que outros dentes sejam afetados. Quando não é possível salvar o dente impactado, o primeiro passo é removê-lo. Quanto antes a cirurgia for feita melhor, para evitar que novas complicações afetem o procedimento.
Em seguida, o espaço que seria ocupado por esse dente pode receber um implante dentário. Ele vai realizar as mesmas atividades que o dente impactado teria que fazer. Em todos os casos, o especialista vai determinar qual a melhor conduta e o cronograma do tratamento dos dentes impactados.
Agende sua consulta agora por WhatsApp
Deixe um comentário