
Blackspace dental: tratamento para melhorar a estética
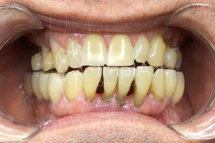
Blackspace ou buraco negro dental é um espaço escuro entre os dentes com formato triangular invertido que surge especialmente na linha da gengiva. Alguns pacientes podem se sentir incomodados pela estética dental. Em casos moderados, temos o tratamento de preenchimento com ácido hialurônico. Pouco tem se falado sobre esta característica, e vamos contar para você um pouco o que é o blackspace e quais o tratamentos indicados. Veja a seguir:
O que é blackspace dental e como ele pode afetar a estética do seu sorriso
Entre as principais causa para o surgimento de um blackspace dental estão: aumento gengival, pouca espessura de rebordo ósseo, retração gengival, perda óssea e/ou gengival e ausência de papila interdental.
Outras causas que podem levar ao blackspace são: má posição dentária, formato dos dentes, maus hábitos de higiene bucal, doença periodontal, restaurações mal adaptadas e uso de força excessiva durante a escovação.
O blackspace dental não é um problema grave, mas é capaz de gerar um prejuízo estético para o sorriso e eventualmente causar problemas fonéticos e retenção de alimentos.

O blackspace dental não é a mesma coisa que o diastema. O blackspace é um espaço negro de forma triangular invertida. O diastema é um espaço retangular entre os dentes com praticamente a mesma largura tanto em toda extensão vertical.
As causas do diastema também são distintas do blackspace. O diastema pode existir pela ausência de um ou mais dentes. Em pessoas com freio labial longo, devido ao hábito de chupar chupeta ou dedo na infância, pressão da língua, agenesia ou doença periodontal.

Tratamento do blackspace dental com ácido hialurônico. Como recuperar papila gengival?
Na consulta são avaliados principalmente os motivos do blackspace e o grau da perda da papila interdental, para dessa maneira indicar o tratamento mais adequado.
O preenchimento com ácido hialurônico se mostra muito eficiente para recuperar o volume bem como a forma da papila entre dentes. O ácido hialurônico é um biomaterial utilizado para preenchimento de sulcos e depressões em vários tratamentos estéticos faciais. É muito seguro, com pouco potencial alergênico e não causa rejeição.
Fechamento de blackspace
Neste procedimento, o objetivo é realizar pequenas modificações no dente e não da gengiva. O contato entre os dentes fique mais próximo a linha da papila.
Na maioria dos casos o fechamento é realizado com resina composta na mesma cor natura do dente, mas existem casos que podem ser solucionados com coroas de porcelana mais fechadas na gengiva, facetas de porcelana ou até mesmo as lentes de contato dentais para cobrir o espaço.
Há os casos em que há um espaço escuro devido à má posição dentária, quando existe uma inclinação excessiva das raízes somada a um determinado formato do dente (especialmente dentes triangulares) que então favorece o surgimento do espaço.
Neste caso, o problema pode ser resolvido ao corrigir a posição dos dentes por meio de tratamento ortodôntico. Com o reposicionamento, a gengiva certamente se acomodará entre os dentes.
Se ficou com a alguma dúvida, entre em contato conosco ou então agende uma consulta com a nossa equipe especializada em estética dental e harmonização orofacial.
Agende sua consulta agora por WhatsApp
Tenho periodontite.
O que pode ser feito p fazer implante total?
Olá Noemia. Leia a nossa página sobre o assunto: Implantes e a Periodontite
De 2022 até agora 2024 surgiu uma pequena mancha no meu dente da frente….não me impotei muito. Mas agora ficou parecendo com o triângulo negro. No meio dos dentes está um pequeno espaço, e quando coloco uma luz ou a lanterna do celular, dentro da boca, pra fazer o reflexo, e olho no espelho, dá pra perceber que por dentro a mancha é enorme, medo de toda essa mancha acabar quebrando meu dente e eu ficar sem o dente da frente. No meu caso, foi um pouco de relaxo e acredito também, que excesso de força, quando escovo, escovo muito forte mesmo….com toda força possível. O que devo fazer? Qual o tratamento mais indicado?
Olá! A mancha que você descreveu pode indicar uma alteração na estrutura interna do dente, possivelmente causada por desgaste excessivo devido à escovação muito forte ou outros fatores. É importante que você procure um dentista para uma avaliação detalhada, que pode incluir exames radiográficos para determinar a extensão do problema. Dependendo do diagnóstico, o tratamento pode variar desde uma restauração com resina composta até, em casos mais avançados, a necessidade de tratamento endodôntico (canal) seguido de uma restauração mais robusta, como um coroamento, para garantir a integridade do dente. Enquanto isso, adote uma escovação mais suave para evitar danos adicionais. O acompanhamento profissional é essencial para prevenir que a mancha evolua para uma fratura e comprometa a saúde do seu sorriso.