
Precisa fazer desgaste dos dentes para lentes de contato dentais?
Uma dúvida muito comum entre as pessoas que estão em busca de melhorar a estética dos dentes é se precisa fazer desgaste dos dentes para Lentes de Contato dental em Porcelana. A resposta é que depende da avaliação de cada caso, e a recomendação para seu caso será feita na consulta inicial.
Importante dizer que há dentes que precisam sofrer algum preparo para remoção de cárie previamente existente. Outros que precisam um discreto nivelamento para impedir volume extra com a instalação das lentes de contato. Enquanto que há casos, que este preparo não é necessário. Seja como for, os dentes devem estar saudáveis para receber o tratamento. Mas fique tranquilo, caso seja necessário o desgaste dos dentes para Lentes de contatos, ele será mínimo. E tenha em mente que, se precisar de desgaste grande, não é lente de contato, é coroa dentaria!

Lente dental é indicada para melhorar a estética dos dentes
Primeiramente, para o tratamento com lente dental é necessária a avaliação da inclinação entre os dentes, sua posição, e do resultado que se pretende conquistar. Dessa forma, em conjunto com o especialista, será possível planejar o caso e as etapas de tratamento.
Em caso da necessidade de desgaste, o grau vai depender muito de cada caso. Mas não se preocupe, isso será abordado em sua consulta, e nas recomendações específicas para seu caso.
Mas quando e por que o preparo para lentes é necessário? Quando precisa fazer desgaste dos dentes para Lentes
As lentes de contato dentais são capinhas de porcelana muito finas, mais finas do que as antigas facetas. Elas são indicadas para corrigir problemas estéticos dos dentes, com manchas, irregularidades no volume ou tamanho dos dentes, cor dos dentes, desalinhamentos, entre outros. Decerto, as lentes de contato dentais são capazes de transformar o sorriso para melhor em um curto intervalo de tempo, e por isso ganharam tanta visibilidade.
O desgaste dos dentes é recomendado quando se identifica que caso as Lentes fossem coladas sobre os dentes sem nenhum preparo, resultaria em dentes com volume exagerado, o que não seria nada estético. Nessa situação, onde se considera que, apesar da espessura ultra fina das lentes, haveria um volume exagerado, ele é recomendado.
Entretanto deve-se considerar que o eventual desgaste para colocar lente é muito menor do que com as antigas facetas, e muito diferente do preparo realizado para uma coroa dentária, por exemplo. Mas aí surgem algumas preocupações: dói para desgastar os dentes? É um procedimento definitivo? E se eu tiver arrependimento lente de contato dental?
- Fotos de tratamento com lente de contato dental antes e depois
- Fotos de lentes de contato dentais antes e depois
- Lentes dentais valor e duração
Planejando a colocação de lentes dentais para melhorar a estética dos dentes
A decisão por colocar lentes de contato dentais deve ser bem discutida entre paciente e dentista para certificar-se de que este tratamento é o mais adequado para solucionar determinado problema estético.
Em consulta, são explicadas as etapas do tratamento, e entre elas se haverá a necessidade ou não de um desgaste, preparo, da superfície do dente. Caso seja necessário, é importante esclarecer que esse processo não causa dor, porque não chega à dentina do dente, região responsável pela sensibilidade.
Após o eventual preparo da região a receber as Lentes de Contato, é realizado um escaneamento dos dentes para gerar um molde digital e fabricar as lentes com encaixe perfeito.
Enquanto as lentes de contato definitivas são fabricadas em impressora 3D, o paciente utiliza lentes provisórias para continuar suas atividades diárias normalmente.
Veja abaixo que interessante é a evolução do caso com Lentes de Contato:


A modernização das técnicas e materiais, e equipamentos de alta tecnologia é o que nos permite fabricar lentes de porcelana com scanner 3D resistentes, porém muito finas. Em suma, o tratamento é todo planejado de forma computadorizada, e dessa maneira, o desgaste quando necessário, é mínimo.
Para saber a diferença entre Lente de Contato e faceta em resina, veja este link que preparamos para você: Diferenças entre lente de contato dental e faceta em resina.
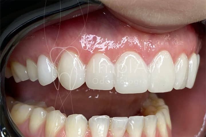
Fotos de antes e depois de lentes dentais
Veja como era a situação inicial de cada caso, e a final. Em todos os casos observam-se enormes ganhos estéticos, uniformização de cor e formatos.









Se você ficou com alguma dúvida ou gostaria de saber mais sobre tratamento com lentes de contato dentais, entrem em contato conosco ou então agende uma consulta com a clínica odontológica ImplArt clicando no botão abaixo.
Agende sua consulta agora por WhatsApp
Deixe um comentário