
Peeling gengival para tratamento de manchas
A ImplArt Odontologia realiza tratamento para remoção de manchas nas gengivas através do peeling gengival. Essa técnica de cirurgia gengival chamada de Melanoplastia consiste na abrasão superficial do epitélio pigmentado com o auxílio de instrumentos. O procedimento é indolor, porque é aplicada sob anestesia local e também há pouco de sangramento.
Clareamento de gengiva
As manchas na gengiva, tecnicamente conhecida por pigmentação melânica gengival, são caracterizadas por excesso de melanina (pigmentos que dão cor à pele). Podem ser de tonalidade acastanhada, roxas, acinzentadas ou pretas e são mais comuns em pessoas negras e asiáticas.
Mas outras manchas podem surgir na gengiva em consequência do fumo ou do contato da gengiva com metais utilizados em alguns tipos de próteses dentárias.
O aspecto de gengivas pigmentadas pode incomodar mais as pessoas que tem o sorriso alto ou o sorriso gengival. Para ser candidato à cirurgia a gengiva do paciente deve estar saudável, o que pode ser obtido com uma raspagem gengival.
Leia mais sobre tratamento do sorriso gengival
Leia mais sobre retração gengival

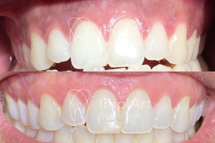
É possível remover manchas na gengiva com peeling gengival
O peeling promove uma descamação epitelial da área pigmentada e dentro de 72 horas é esperada a formação de novo tecido com coloração mais rosada. Em sete dias, a cicatrização será completa e logo após a tonalidade da gengiva se tornará bem mais uniforme.
O efeito do peeling gengival pode durar por anos, porém alguns pacientes podem precisar repetir o procedimento, já que a pigmentação pode retornar (principalmente se eles forem fumantes). Algumas recomendações pós-cirúrgica:
- Evitar a ingestão de alimentos muito ácidos, salgados, quentes ou duros nos primeiros dias;
- Fazer assepsia com solução à base de clorexidina (bochechos três vezes ao dia, durante sete dias);
- Utilizar uma escova dental com cerdas macias;
- Tomar a medicação prescrita;
- Não fumar;
- Ser cauteloso para evitar doenças contagiosas, principalmente nos primeiros dias, já que a gengiva em processo de cicatrização pode ser uma porta de entrada para vírus e bactérias.
Se você ficou com mais alguma dúvida a respeito desta técnica de cirurgia de peeling gengival ou preço, entre em contato com a nossa equipe ou agende uma consulta. Ficaremos felizes em atendê-lo.
Agende sua consulta agora por WhatsApp
Deixe um comentário