
Fotos Reais de prótese dentária e implante dentário
Veja a seguir fotos de prótese dentária (tratamentos com implante dentário, prótese dentária e reabilitação oral estética) realizados em nossa clínica na região da Avenida paulista em São Paulo.
Fotos de prótese dentária sobre implantes – arcada superior total e inferior parcial /alguns dentes
Houve uma mudança muito significativa na estética destes sorrisos. Foi realizada uma reabilitação total superior com implantes dentários.

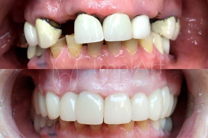
Foto de implantes odontológicos intercalados com dentes naturais e transformação do sorriso
Certamente podemos constatar um grande avanço estético. As coroas dentárias antigas apresentavam desgastes, expondo parte da estrutura metálica. Em alguns casos também podem realizados um clareamento dentário a laser, implantes dentários, troca de restaurações de amálgama por resina, coroas em porcelana bem como recontorno dental com resinas composta para alcançar os melhores resultados.









Veja mais fotos de tratamentos realizados na ImplArt Odontologia.
Vantagens de fazer implantes dentários
A experiência de ter dentes fixos com implantes é muito superior a utilizar uma prótese móvel desconfortável. O implante de um dente também não exigirá uma manutenção frequente nem específica. Nos casos de implantes totais a técnica de escovação deve ser aprimorada conforme orientações dadas pelo dentista especialista em implantes dentários.
Implantes dentários podem ser indicados para quase todas as pessoas que sofrem com a ausência de um dente, seja de alguns dentes ou de todos os dentes de uma arcada. Porém cada caso de implantes precisa ser avaliado individualmente para que seja planejado o tratamento mais adequado.
No entanto a boa notícia é que ImplArt é uma clínica especialista em implantes dentários que possui expertise e conhecimento das mais modernas técnicas para solucionar a falta de dentes. Possuímos experiência para resolver os casos mais difíceis de reabilitação oral, por técnicas cirúrgicas ou protéticas.
Veja exemplos de antes e depois com implantes osseointegrados na ImplArt.
Você também pode mudar o seu sorriso! Agende uma consulta com a nossa equipe e saiba qual o tratamento é mais indicado para o seu caso.
Agende sua consulta agora por WhatsApp
Deixe um comentário