
Tratamento ortodôntico digital
O tratamento ortodôntico Invisalign digital é totalmente simulado e planejado em computador com o uso de scanner intraoral e softwares especializados. O scanner intraoral é utilizado para captar imagens precisas dos dentes e gengivas e dessa forma criar um molde tridimensional colorido das arcadas.
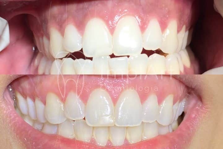
Já os softwares utilizam essas imagens para simular a movimentação dos dentes até a posição desejada.
Modelos com o tratamento final proposto podem ser impressos em 3D para verificação caso o ortodontista prefira. Os moldes digitais podem ser utilizados não apenas para o planejar o tratamento ortodôntico com aparelho convencionais, como também com os aparelhos em forma de placas alinhadoras (Invisalign ou Clear Correct da Straumann).

Passo a passo do tratamento ortodôntico computadorizado:
- Escaneamento dos dentes e gengivas com o scanner Trios 3Shape para criar um molde digital colorido das arcadas.
- Diagnóstico através da integração de todos os dados do paciente, como exames radiológicos, exame clínico, moldagem digital, etc.
- Planejamento do tratamento – é feita a simulação da movimentação dos dentes bem como do resultado esperado.
- Confecção do aparelho – os dados da moldagem digital são enviados para a fábrica que confecciona as placas alinhadoras personalizadas.
- Monitoramento do tratamento – o software permite o acompanhamento do progresso do tratamento e a comparação desses dados de acordo com o que foi planejado inicialmente.
- Finalização do tratamento
Assista ao vídeo de uma simulação de movimentação dentária
Vantagens do tratamento ortodôntico digital:
- Permite sobretudo um diagnóstico mais preciso
- Economia de tempo – a moldagem digital é realizada com mais rapidez se comparada as moldagens convencionais com massa. Por consequência reduz a necessidade de visitas ao consultório para realizar ajustes.
- Precisão – As moldagens convencionais com massa podem apresentar distorções. Já a moldagem digital possui uma precisão muito superior, reproduzindo as cores e formas dos dentes e gengivas.
- Conforto – Alguns pacientes podem sentir náuseas com a moldagem convencional, mas a moldagem digital é muito confortável.
- Melhora a interação entre paciente e dentista – facilita a compreensão do paciente com relação as etapas do seu tratamento. A simulação da movimentação dentária também permite o acompanhamento da evolução do tratamento.
- Documentação digital – o sistema gera uma documentação digital do paciente que pode ser compartilhada com outros profissionais envolvidos com o tratamento.
Se você ficou com alguma dúvida sobre tratamento ortodôntico digital, entre em contato conosco.
Agende sua consulta agora por WhatsApp
Deixe um comentário