Implante dentário nos dentes da frente
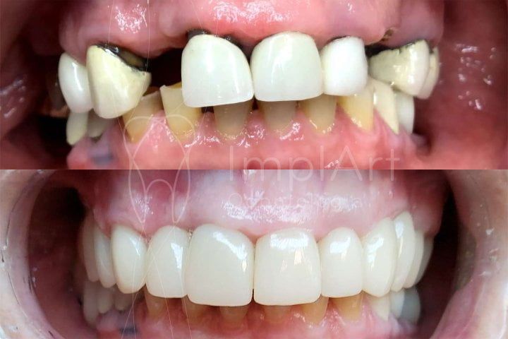
A ausência de um ou mais dentes pode afetar a vida e a autoestima de uma pessoa, ainda mais se há perda dos dentes da frente, a parte frontal da arcada dentária. Na odontologia, essa região é chamada de área estética, justamente por ser a parte mais visível e a que melhor representa a estética do sorriso.
A perda de dentes pode causar dificuldades na mastigação e na fala, além de afetar a estética do sorriso. Por isso, é importante buscar soluções para substituir os dentes ausentes. Uma opção comum é o implante dentário, que consiste na colocação de uma prótese fixa no local do dente perdido. Outra alternativa é a prótese removível, que pode ser retirada e colocada pelo paciente, entretanto os implantes são considerados amplamente melhores que próteses removíveis.
Conteúdo deste Artigo
Implante dentário nos dentes da frente
A área estética exige a preferência por materiais mais discretos e bonitos para que os dentes fiquem com aspecto natural. Nos últimos anos, tivemos uma grande evolução na elaboração e desenvolvimento de materiais estéticos e técnicas para composição de implantes e próteses dentárias, exclusivamente para esta região.

1 – Scanner Intraoral da boca: copiando o formato das gengivas dos dentes anteriores
2 – Dentes Provisórios: colocados nos implantes da frente
3 – Radiografia mostrando os implantes dentais colocados
4 – Coroas Definitivas: Observe que os dentes quem que sair de dentro da gengiva.
Comparação de características entre implantes dentários utilizados nos dentes do fundo da boca e nos dentes da frente
| Características | Implantes Dentários de Dentes do Fundo | Implantes Dentários de Dentes da Frente |
|---|---|---|
| Localização | Fundo da boca, região de pré-molar ou molar | Frente da boca, região incisiva (incisivo central, incisivo lateral e canino) |
| Carga Mastigatória sobre o conjunto implante-dente | Alta | Baixa ( porém o canino recebe mais cargas) |
| Estética da gengiva | Menos visível, menos crítica | Visibilidade alta, crítica |
| Osso Adjacente | Osso em geral denso e resistente | Osso menos denso, em geral mais fino |
| Número de Raízes do dente original da região | Comumente de 2 a 3 | Única raiz (monorradicular) |
| Tamanho do Implante a ser inserido preferencialmente | Geralmente maior curto – pois em geral há restrições de altura | Geralmente mais longo |
| Formato da Coroa | Mais ampla, funcional | Mais estreita, estética |
| Proximidade a estruturas anatômicas como cavidade nasal, Seios Maxilares e nervo mandubular | Mais crítica | menos crítica (em geral) |
| Complexidade Cirúrgica | Menos complexa | Potencialmente mais complexa |
Essas características são gerais e podem variar dependendo de fatores específicos do caso clínico, das preferências do paciente e das decisões do profissional de odontologia. A escolha do modelo utilizado para o tratamento com implantes para dentes do fundo ou da frente será influenciada por considerações estéticas, funcionais e estruturais. Analisaremos cada caso individualmente para determinar a abordagem mais apropriada, e em sua consulta discutiremos os diferentes fatores afetando seu caso.
Implantes dentários específicos para o dente da frente
Os dentes da frente na arcada seriam os incisivos centrais, incisivos laterais e caninos. A região anterior requer alguns cuidados maiores para atingir uma estética perfeita pois pode interferir na aparência do sorriso. Quanto ao material, hoje existem duas principais opções de implantes indicados para área estética:
Implante estético de cerâmica pura
Sem metal, possui tonalidade semelhante à raiz dentária (branca), portanto fica com resultado discreto até mesmo em pacientes com gengiva fina ou outras necessidades específicas desta região.
Os implantes brancos de zircônia também diminuem a chance de um aspecto cinza na região da gengiva na área anterior. Os implantes cerâmicos são muito recentes e possuem tecnologias mais novas que estimulam e aceleram a cicatrização (osseointegração).

Implante de titânio para nível ósseo (Bone Level)
O implante para nível ósseo possui a conexão do pilar (encaixe do dente) na linha do osso, ou seja, mais profundamente do que os implantes mais antigos. Dessa maneira, o tecido gengival é mais espesso sobre o implante e com isso a anatomia da gengiva tem anatomia preservada e cicatrização mais rápida.
Os modelos de implante de posicionados na crista óssea tem o favorecem o aspecto mais natural, preservando os tecidos gengival e ósseo (mais delicado na região dos dentes da frente). Esses novos implantes mais profundos também favorecem o aspecto natural da saída do dente de dentro da gengiva, bem como a formação da papila interdental.

O tipo de encaixe entre o implante/dente interfere na estética dos dentes da frente
Hoje sabemos que o tipo de implante afeta tanto os resultados estéticos quanto a durabilidade esperada dos implantes dentários. Por exemplo, implantes com encaixe interno (fêmea), dos tipos hexágono interno ou principalmente com o encaixe cônico (cone-morse), favorecem a estética. O encaixe cone-morse é o único com velamento perfeito, o que evita o acúmulo de bactérias ao redor do implante.
A ausência de bactérias é essencial para a saúde e estética da gengiva e do implante principalmente na região anterior.
Facilitando a estética nos implantes da frente utilizando peças de zircônia branca
Depois que seus implantes da frente estiverem colocados e devidamente cicatrizados, começará a fase da elaboração dos dentes.
As próteses de implante são feitas por camadas, utilizando peças apropriadas chamadas de componentes ou pilares. Para facilitar a estética final nos dentes da frente, é apropriado evitar peças de metal nessa região para que não existam áreas escuras, sendo que em especial o melhor material seria utilizar componentes de zircônia.
Os pilares de zircônia ficam discretamente invisíveis dentro da coroa, mesmo em ambientes iluminados. Já os pilares de metais, apesar de bastante resistentes, podem deixar o interior da coroa escuro.
Os pilares de zircônia são concebidos com tecnologia CAD/CAM, resultando em peças totalmente personalizadas e de encaixe perfeito. A zircônia é um material branco, livre de metais e altamente resistente e estético, e por isso é um de nossos materiais preferidos para executar as próteses dentárias na frente.
Nossa clínica é equipada com laboratório de prótese dentária interno capaz de realizar todos os tipos de pilares de zircônia de forma rápida, segura!
Próteses e Coroas CAD/CAM – Reposição dos dentes da frente
As próteses dentárias, coroas e restaurações dentárias já podem ser projetadas em computador com tecnologia CAD/CAM. O material mais indicado para a área estética com toda a certeza é a porcelana dental, por se assemelhar aos dentes naturais em resistência e pelo aspecto.
Mas veja que não seriam as porcelanas dentais comuns e sim as porcelanas computadorizadas, sem metais e projetadas por computador. A reabilitação oral com uso de tecnologia CAD/CAM começa com a moldagem digital. Com o uso de um scanner intraoral, o dentista capta imagens precisas do interior da boca do paciente.
Essas imagens são transformadas em um modelo tridimensional da arcada dentária. Com um software integrado, a equipe do laboratório de prótese dentária projeta a coroa ou a restauração com imitações de detalhes dos dentes vizinhos.
O projeto então é enviado para uma impressora 3D, que realiza a fresagem de um bloco bruto de porcelana dental até que ele chegue ao formato do dente projetado.
Logo depois de terminada essa etapa, a coroa já pode ser instalada sobre o pilar e implante. A ImplArt Odontologia possui estrutura tecnológica sobretudo para realização de implantes e coroas altamente estética para a região mais visível da arcada. Contamos com:
- A tecnologia CAD/CAM do Cerec 3D e do Trios 3Shape
- Os Implantes de cerâmica pura Pure Ceramic Straumann
- Os Implantes de nível ósseo Bone Level Straumann importados.
Conclusão
Realizar Implantes dentários nos dentes da frente pode ser um tratamento desafiador. Porém as fórmulas para o sucesso são continuamente estudadas e aprimoradas.
Tenha na Clínica ImplArt a segurança de estar recebendo tratamentos alinhados com as últimas tendências e descobertas.
A tecnologia avançada que utilizamos no processo de criação de coroas e restaurações dentárias permite transformar imagens em modelos tridimensionais da arcada dentária. Com o auxílio de um software integrado, é possível projetar coroas e restaurações com detalhes precisos dos dentes vizinhos.
Esses projetos são então enviados para uma impressora 3D, que realiza a fresagem de um bloco de porcelana dental, dando forma ao dente desejado. Após essa etapa, a coroa pode ser instalada sobre o pilar e implante, proporcionando uma estética altamente satisfatória.
Em caso de dúvidas, entre em contato conosco ou então venha nos fazer uma visita.
Agende sua consulta agora por WhatsApp
Tem possibilidade do implante ser da mesma cor dos dentes naturais? Por exemplo amarelado?
Sim o implante pode ser feito com semelhança com os dentes vizinhos e em diversas cores, desde um super branco até um amarelo mais escuro, veja mais
https://implantesorais.com.br/transformacao-sorriso-qual-cor-ideal/
EU QUEBREI UM PEQUENO PEDAÇO DO DENTE DA FRENTE; JÁ FIZ TRES RESTAURAÇÕES; MAS, NENHUMA PAROU. QUAL SERIA OUTRAS SOLUÇÕES, QUE TIVESSEM MAIS RESISTENCIA
Quando uma restauração dentária não aguenta e fica quebrando, o dente pode estar em sobrecarga de força, ou trata-se de uma restauração muito grande neste caso melhor seria pensar em fazer um bloco dentário ou uma coroa dentária de porcelana.
Meus 2 dentes da frente não tem como recuperar foi o q me disse a dentista, me disse q seria viável um implante ou prótese.
Não tenho dinheiro pro implante e não queria uma prótese móvel será q da pra fazer prótese fixa?
Para poder fazer uma prótese dentária fixa será necessário ter dois apoios nos extremos dos espaços.
Os dentes de apoio também não podem estar muito distantes.
Qual o preço?, que vcs informam na matéria!.
O implante dentário no dente da frente é um excelente tratamento para aquelas situações nas quais o paciente perdeu um dente na região anterior. Infelizmente não poderemos colocar publicamente o valor do implante dentário aqui, precisaremos fazer uma consulta on-line para entender seu caso identificar quais as técnicas e materiais adequados e assim realizar uma estimativa de preço.
Tenho 68anos tenho uma protese comple superior e inferior qual o valor de um emmplante fixa.
um tratamento para prótese completa superior e inferior com implante fixo é uma excelente opção para quem perdeu os dentes. Entretanto infelizmente não podemos publicar os valores aqui por isso solicitamos que o senhor entre em contato conosco pois iremos organizar uma consulta mesmo que seja a distância para entender melhor o seu caso
Tenho dois dentes da frente um é grande e torto outro pequeno tambm torto quanto custaria pra sua substituição com uma prótese fixa??
Olá Charles, para verificarmos a situação atual desses dentes tortos e pequenos temos que avaliar voce clinicamente e com sua radiografia panoramica que é realizada aqui na Clínica ImplArt, para maior conforto. Fale com a gente pelo whatsApp para que possamos orientá-la 📲WhatsApp (11) 3262-4750 https://wa.me/551132624750