
Lente dental antes e depois
A Lente dental é um tratamento moderno, que permite ganhos estéticos rápidos e notáveis. As Lentes em Contato em Porcelana Pura são elaboradas com planejamento computadorizado, utilizam computação gráfica em sua execução, dessa forma, o sistema permite antever os resultados planejados.
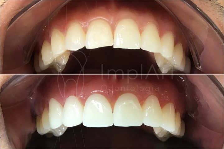
Tratamento estético dos dentes com clareamento a laser e lente de contato dental antes e depois
Vale lembrar que muito tem se falado sobre as facetas em resina, que não são a mesma coisa que Lentes de Contato. As facetas em resina, tem durabilidade muito menor, e sofrem ação de pigmentos, ou seja, tem a tendência a ficarem amareladas com o tempo.
Com as Lentes de Contato a coloração permanece a mesma, pois a porcelana não sofre a ação de pigmentos existentes na alimentação.
Veja este caso de lente de contato dental antes e depois do tratamento e conclua que, as vezes, basta realizar pequenas correções nos dentes para transformar seu sorriso para melhor.
O tratamento permite conquistar excelentes resultados estéticos em um curto intervalo de tempo. O tratamento é rápido de ser realizado, e os resultados são prontamente observados.

As lentes são capazes de transformar o sorriso
Paciente apresentava dentes incisivos laterais superiores curtos (ou seja, dentes curtos), com facetas de resina antigas, desgastadas e arranhadas. Um dos incisivos também se encontrava com leve retração da gengiva (2), o que causava sensibilidade dentária por expor parte da dentina.
Foi proposto um tratamento para troca das facetas de resina por lentes de contato dental de cerâmica estética. A cerâmica é um material muito resistente, que não arranha e não mancha ao longo do tempo. Além disso, foram indicadas duas sessões de clareamento dental a laser para branquear e uniformizar a tonalidade de todos os dentes.

As lentes de contato dental foram projetadas em computador logo depois de realizarmos um escaneamento intraoral das arcadas. O escaneamento dos dentes gera um molde digital, o que nossos pacientes reconhecem ser muito mais confortável e rápido do que as moldagens convencionais com massa.
A moldagem digital também possibilita que o tratamento seja mais rápido e que o paciente não precise comparecer muitas vezes no consultório. Desse modo, você pode terminar seu tratamento em poucos dias na modalidade Day Clinic da ImplArt Odontologia. É ideal para pessoas que tem pouco tempo ou que precisam resolver esses problemas durante uma viagem à São Paulo.
Os resultados do tratamento trouxeram melhoras significativas para a estética do sorriso, e por consequência para a imagem do paciente.
Veja fotos de antes e depois de lentes de contato dentais realizados na ImplArt Odontologia
Se você ficou com alguma dúvida sobre reabilitação oral ou gostaria de saber se esse tratamento é indicado para seu caso, entre em contato conosco ou agende uma consulta com a nossa equipe especializada.






Agende sua consulta agora por WhatsApp
Deixe um comentário