
Coroa de porcelana metal free computadorizada
A coroa de porcelana metal-free proporciona estética aliada a resistência e durabilidade
O que é coroa de porcelana?
Coroa de porcelana é um dente artificial – prótese dentária – que se assemelha em forma e função a um dente natural que foi danificado. As coroas de porcelana também podem ser agrupadas para construir as pontes fixas ou próteses fixas em porcelana. Aqui na Clínica Odontológica ImplArt nós realizamos Coroas livres de metais, em sistemas completamente computadorizados. Oferecendo, dessa maneira, os sistemas mais modernos e resultados mais avançados aos nossos pacientes.
O que é porcelana dental?
Porcelana é um material que se assemelha a um vidro e é utilizado para a reconstrução de dentes, possui cor natural e alta resistência. Também é chamado de cerâmica dental.
Tipos e materiais de coroa de porcelana
Em suma, existem diferentes tipos de materiais utilizados para a elaboração de coroas de porcelana: os materiais mais antigos utilizam metal e os mais modernos não contém metal. As coroas de porcelana com estruturas internas metálicas são chamadas de metalocerâmicas e as coroas com estrutura branca como no caso da zircônia são chamadas de metal-free, ou seja, livres de metais.
Existem ainda as coroas que não utilizam estruturas internas, e são elaboradas por métodos computadorizados. Além disso cobrir um dente natural destruído com a coroa de cerâmica é fundamental para a saúde bucal pois irá restabelecer a mastigação do paciente permitindo até a alimentação com alimentos duros
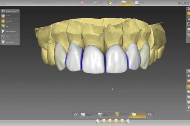
A vantagem da coroa de porcelana metal free é que ela é mais estética, já que a porcelana pura é um material branco. Dessa forma, a estrutura não é visível dentro da coroa mesmo em ambientes muito iluminados. As novas gerações de coroas de porcelana são elaboradas por métodos cad/cam de acordo com projetos computadorizados e nem mesmo necessitam camadas de reforço interno como o metal e a zircônia. São realizados em um material único (monolítico). São as coroas de porcelanas digitais, metal free que como principais vantagens oferecem estética e rapidez na elaboração.









Zircônia translúcida
Outro material inovador para fazer uma nova coroa de porcelana é a zircônia translúcida, um material até 10 x mais resistente do que as porcelanas para coroas comuns. Por esse motivo são muito indicadas para a reabilitação oral de dentes posteriores e em pacientes com bruxismo. A reabilitação oral com coroas poderá ser feita sobre implantes, sobre raízes com tratamento de canal e em dentes naturais sem tratamento de canal.

Para o encaixe de coroas dentais é necessário fazer uma preparação (desgaste dental), para que a coroa se encaixe corretamente. A principal técnica digital que utilizamos é por meio do Cerec 3D um sistema de moldagem intra-oral com scanners e produção robotizada de dentes.
Antes de realizar uma prótese definitiva realizaremos uma prótese provisória para que você não fique sem o dente. Após realizar o tratamento reabilitador você poderá ter uma vida norma, comer alimentos duros e deverá higienizar normalmente diariamente com escova e fio dental. A Clínica ImplArt é especialista em prótese dentária e poderá lhe oferecer uma coroa de porcelana com a tecnologia de ponta.
Coroa em porcelana: vantagens e indicações
As coroas de porcelana são próteses dentárias fixas que imitam forma e aparência de dentes naturais. Quando um dente está muito destruído pode ser necessário realizar um tratamento de canal e coroa de porcelana. Por Dr. Roberto Markarian, dentista graduado e especialista em próteses dentárias e especialista em implantes dentários em São Paulo.
O que é porcelana dental?
A escolha da prótese dentária ideal pode gerar certa confusão nas pessoas diante de algumas opções. A prótese dentária fixa deve responder a necessidades funcionais e estéticas. São esses os principais objetivos e que determinam a escolha do material ideal. Antes de escolher o material, inicialmente é necessário entender as diferenças entre os tipos de coroas dentárias em porcelana. A principal delas é a técnica de reforço, que é a parte exigida nos esforços mastigatórios. Entenda melhor as diferenças:
Coroa Metalocerâmica
A coroa dentária em porcelana é construída sobre estrutura metálica. É durável e estética, podendo ser utilizada em dentes anteriores como posteriores. No entanto, em alguns casos, pode não ser alcançar o melhor resultado estético em dentes anteriores, porque o metal escuro dentro da prótese pode deixar a coroa com aspecto escurecido quando submetida a iluminação intensa.
Coroa em porcelana com zircônia metal free
É uma coroa de porcelana montada sob estrutura de zircônia branca, portanto sem metal / livre de metais (metal free). É altamente durável e possui excelente resultado estético, já que a zircônia branca da estrutura interna deixa a coroa com aspecto natural muito semelhante ao dente natural. A coroa em porcelana com zircônia também pode ser fixa sobre implantes dentários e totalmente planejada em computador e executada em impressora 3D de dentes. Também é uma indicação para pessoas que têm alergia a metais.
Coroa em porcelana pura
Possui excelente resultado estético e grande resistência. O material utilizado é o dissilicato de lítio ou cerâmica feldspática. Por esta cerâmica ser muito translúcida, normalmente não é indicada para aplicação em dentes escurecidos ou sobre pinos metálicos.

Quanto custa a coroa de porcelana?
Valores de tratamentos só podem ser passados mediante consulta odontológica presencial. Isso porque o paciente precisa ser bem avaliado, para nossa equipe entender as necessidades funcionais e estética. Somente depois disso é possível fazer a indicação do tratamento mais adequado. Em muitos casos nossa equipe vai oferecer algumas opções de tratamento e respectivas expectativas de resultado, e o paciente fica livre para escolher.
As coroas de porcelana podem ser feitas rapidamente em nossa clínica por nosso método de Day Clinic para coroas de porcelana. É importante ao final do tratamento com coroa de porcelana manter boa higiene bucal com fio dental diariamente e escovação normal.
Caso voce esteja longe, é possível realizar sua consulta online, também chamada de teleconsulta. Esta consulta preliminar é realizada com nosso diretor clínico, Dr. Roberto Markarian, que conseguirá avaliar preliminarmente seu caso e passar as recomendaçoes para seu tratamento. Esta modalidade vale inclusive para quem precisa de implantes dentarios, pois conseguimos planejar sua cirurgia de implante dentário à distância.
Saiba mais sobre coroa de porcelana
Leia mais sobre coroas dentárias
Agende sua consulta agora por WhatsApp
Deixe um comentário