
Aesthetic oral rehabilitation – Specialist Clinic
Aesthetic oral rehabilitation is a treatment or set of dental procedures aimed at restoring the oral function and aesthetics of a person who is suffering from missing teeth and needs implants, or whose oral function is compromised by other dental problems that affect chewing, speech and the aesthetics of the smile.
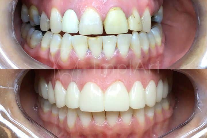
Accordingly, depending on the case, single or partial dental implants can be carried out, or so-called total implants with a protocol prosthesis, which are implants for the entire arch. Porcelain crowns or zirconia crowns can be made, designed with modern computerized systems that allow patients to regain their confidence to smile, as well as their chewing function. It is important to note that dental implant surgery is simple, and allows for major transformations in the patient’s life.
Aesthetic oral rehabilitation: which procedures?
In addition, oral rehabilitation also aims to prevent other problems from arising in the future. A complete, better and well-articulated set of teeth will certainly prevent problems with the jaw, mandible and temporomandibular joints.
ImplArt specializes in prosthetics and restoring dental aesthetics
The ImplArt Dental Clinic has a team made up of the main areas of dentistry:
- Implant dentist – surgery and prosthetics for dental implants to replace roots. Cases can vary from one tooth to a prosthetic protocol for all teeth.
- Endodontist – root canal treatment.
- Orthodontist –orthodontic treatments, including state-of-the-art braces.
- Oro-Facial Harmonization – Improves facial aesthetics through techniques such as lip fillers (thickening the lips).
- Periodontist – treatment of diseases affecting the teeth, roots, gums and supporting bones, such as cavities, gingivitis, plaque, periodontitis.
- Restorative dentistry – aesthetic treatments such as whitening, application of dental contact lenses and aesthetic planning.
- Oral and maxillofacial – specialist in the surgical correction of facial anomalies, such as asymmetries, TMJ dysfunctions and bone grafting.
- Prosthodontist – Dental surgeon specialized in making aesthetic and conventional dental prostheses.
- Prosthetist – laboratory technician specialized in making dental prostheses.
- Radiologist – specializes in radiological examinations that help with diagnosis and treatment planning.


All these areas can work in isolation or better together to achieve complete oral rehabilitation. ImplArt’s team of professionals is supported by a number of facilities and the best technologies, all at the same address:
In-house dental laboratory
With a specialized team and equipment that helps make modern dental prostheses quickly and precisely, much more like real teeth, such as the modern translucent zirconia prosthesis. ImplArt’s prosthetics laboratory has two of the most modern dental 3D printers on the market: the Cerec Sirona System and the Ceramill Motion 2.
They do everything from computerized three-dimensional design to milling teeth in ceramic material. Find out more by clicking here.
Digital radiology laboratory
With a digital panoramic X-ray machine and computerized tomography.
Computerized treatment and surgery planning
Exclusive software that plans and simulates various dental treatments. This way, patients know how their treatment will go before they even start it.
Day Clinic
The Day clinic is a type of service that carries out one or more dental treatments intensively. In this way, oral rehabilitation can be achieved in the shortest possible time (subject to assessment of the complexity of each case).
One of the main features of aesthetic oral rehabilitation is the porcelain dental crown
This is a dental reconstruction that aims to cover or encase a tooth that has had its structure compromised, or even after root canal treatment. Teeth with a root canal almost always need a reinforcing post to give the dental crown a better structure. The dental crown can be made from a number of porcelain options currently available.
In some cases, dental crowns can be better made in one day with the CEREC 3D dental prosthesis and crown in our clinic thanks to the technologies in our laboratories. Dental posts (cores) can be metal or aesthetic (zirconia or fiberglass).

Read more: aesthetic cores
Above all, the ImplArt dental clinic, coordinated by Dr. Markarian, seeks to conduct treatments with clarity, respect and seriousness, so that its patients feel confident, calm and satisfied. So don’t suffer from dental problems.
We understand your fears and expectations, which is why we invest in treatments that are less and less invasive and uncomfortable.
If you have any questions about aesthetic oral rehabilitation prices, values and techniques, then please contact our team via one of the channels below or come and visit us. We’ll be happy to help you!
Agende sua consulta agora por WhatsApp
Leave a Reply