
Dental contact lenses: step-by-step treatment
The dental contact lens is a set of extremely thin porcelain veneers (lithium disilicate), designed by a computerized cad/cam system and made by 3D printers.
Dental contact lenses
Dental contact lenses: step-by-step treatment
What are dental contact lenses?
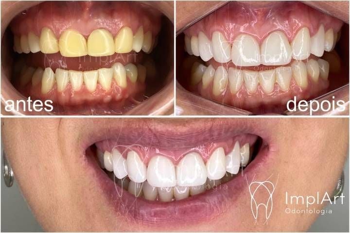
Contact lenses are bonded to the front of the teeth individually and are used to correct certain aesthetic problems, such as misaligned teeth, stained teeth, pigmented teeth, cracked teeth, improperly shaped teeth, unwanted pain, irregular tooth size and correcting the position of the teeth.
They are bonded to the front of the teeth, individually, in order to correct certain aesthetic problems. These are cases of misaligned teeth, stained teeth, pigmented teeth, cracked teeth, improper shape, unwanted color, irregular tooth size, correction of tooth position.
Lenses are not recommended for unhealthy teeth, such as decayed teeth or teeth with periodontal disease. Contact lenses for teeth are capable of revolutionizing the aesthetics of smiles. Today we see many celebrities who have undergone the treatment and have undoubtedly had their smiles transformed.
Do I need dental contact lenses?
Contact lens treatment involves the use of advanced dental technology. It starts with taking a mold of the teeth. The digital impression is taken using an intraoral scanner that captures images of the teeth and gums and creates a three-dimensional model on the computer screen.
Based on these images, the dentist uses software that designs the dental contact lenses with customized shapes and shades for each patient.
Planning
The design can be for a single tooth or more. The approved computerized design is then sent to the digital prosthetics laboratory to make the dental lenses. A block of porcelain is placed in the 3D printer and the milling process begins until the block acquires the shape of the designed dental lenses.
Dental contact lenses are approximately 0.2mm thick. This ultra-thin thickness does not require any or little wear to the tooth surface in order for the lenses to be applied. They therefore differ from porcelain veneers.


Bonding dental contact lenses
Bonding is carried out after the tooth has been prepared, which involves professional cleaning to remove possible plaque and tartar buildup. The lenses are then bonded with cement specifically for dental use, without pain or the need to apply an anesthetic.
It’s a quick treatment and can even be carried out in a Day Clinic. The durability of dental contact lenses is undetermined. Porcelain is a very resistant material and has very similar characteristics to natural teeth.
Its surface is stain-resistant and does not require the patient to be cautious with highly pigmented foods and drinks, such as beet, carrots, wine, coffee, teas, etc.

This ultra-thin thickness does not require the tooth surface to be worn down in order for the lenses to be applied, so they differ from porcelain veneers. They are applied after the tooth has been prepared, which involves professional cleaning to remove possible plaque and tartar buildup.
The lenses are bonded with cement specifically for dental use, without pain or the need to apply an anesthetic. It’s a quick treatment which, in some cases, can be carried out in a Day Clinic. The durability of dentalcontact lenses is undetermined.
Porcelain is a very resistant material and, above all, has very similar characteristics to natural teeth. Its surface is resistant to stains and does not require the patient to be cautious with highly pigmented foods and drinks, such as beet, carrots, wine, coffee, teas, for example.
Dental lenses see how they work









Dental contact lenses price │ Contact lenses values
The average price of dental contact lenses can only be given in a dental consultation, as it depends on a face-to-face clinical examination, and the Federal Council of Dentistry prohibits non-face-to-face consultations. If you have any questions, please contact us through one of our service channels.
Schedule your appointment at ImplArt
Dr. Roberto Markarian, implant dentist
Text written by DR. ROBERTO MARKARIAN – CRO-SP 73.583
Founder and Director of the ImplArt Dental Clinic – Dr. Roberto’s Linkedin profile

Dr. Roberto Markarian is a reference in dental implants and computerized dental prostheses in Brazil. As well as having more than 10,000 implants installed, he is a researcher and produces knowledge that is published worldwide in renowned scientific journals in the field of dentistry. He is responsible for promoting knowledge and high technology applied in all the treatments offered by the ImplArt Clinic.
- Post-Doctorate in Implant Dentistry – Univ SL Mandic (Campinas-SP) – 2020
- PhD in Implant Dentistry – Doctor of Implant Dentistry, Univ SL Mandic – 2017
- Dr. Roberto Markarian Specialist in Dental Implants at USP (Implant Dentist) – 2008
- Specialist in Prosthodontics (Prosthodontist ) by the CFO – 2006
- Master in Prosthodontics, USP – 2005
- Graduated as a Dental Surgeon from USP (São Paulo) – 2001
- Member of the Clinical Staff of Hospital Alemão Oswaldo Cruz
schedule your appointment at the implart clinic by phone or whatsapp

📲(11) 3262-4750
📲WhatsApp(11) 3262-4750
Agende sua consulta agora por WhatsApp
Leave a Reply