
Dental contact lenses – Dental Porcelain Veneers
Dental contact lenses are a type of ultra-thin porcelain veneer (0.2 mm) used to correct certain aesthetic problems with the teeth.
Dental contact lenses to transform the appearance of your teeth
Aesthetic treatment for stained, misaligned, asymmetrical or broken teeth
Dental lenses work like “covers” that are glued onto one or more teeth to cover stains, small fractures and other defects, or to change the shape and size of teeth. Dental contact lens treatment is the smile of the famous.
Dental contact lenses are completely computer-designed and then made from dental porcelain using milling machines (3D printers). Dental porcelain is a vitreous ceramic material (lithium disilicate) that is very resistant and mimics the texture and shade of natural teeth.
It is also a safe material and therefore totally biocompatible with the human body. The computerized design is based on images taken by an intraoral scanner – a high-precision camera.

At the end of the milling process, the dental contact lenses have a shape, color and texture comparable to natural teeth, even imitating the characteristics of neighboring teeth. Because they are ultra-thin, installation requires little or no wear on the natural teeth.
The lenses are then bonded with dental cement activated with a light-curing device. ImplArt uses one of the best contact lens light-curing devices on the market, making treatment more efficient and safer. Find out more.
Indications for dental contact lenses:
- Covering stains
- Change in the shape of the teeth
- Change in tooth color
- Enlargement of small teeth
- Aligning crowded teeth
- Covering small fractures
- Uniformization of uneven and asymmetrical teeth
Advantages of lenses:
- High resistance and long durability of the dental contact lens
- Very aesthetic look, comparable to natural teeth
- Minimally invasive restorations
- Completely painless procedure
- They don’t require much tooth grinding to be installed
- Preserves the structure of the teeth
- No discomfort in chewing function
- Porcelain doesn’t change color over the years
- Incredibly natural and harmonious result
- It can be designed and executed in a short time, in some cases even in a Day Clinic.
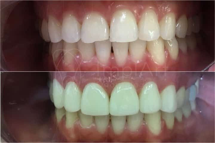
Before and after contact lenses: find out about some of the treatments performed at ImplArt:












At ImplArt Odontologia, all this work is certainly done in a precise and personalized way for each patient. This is only possible because we have CAD/CAM-based technologies on our premises, which not only carry out the computerized design of the treatment, but also the execution of the dental contact lenses. If you have any questions, please contact us.
Agende sua consulta agora por WhatsApp





Leave a Reply