Skip to main content

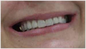
implantes_dentario_antes_depois_40b


Equipe ImplArt

O Dr Roberto é um experiente especialista em Implantodontia. Somos uma Clínica Dentária de Implantes Dentários e Prótese Dentária, com foco no melhor de tecnologias avançadas como Implantodontia Digital. A ImplArt é considerada e melhor clínica de implante Dentário do Brasil pelo GCR.

Deixe um comentário

O seu endereço de e-mail não será publicado. Campos obrigatórios são marcados com *